Patient: 11 year old female spayed Beagle.
History: The owner complained about coughing and exercise intolerance.
Findings:
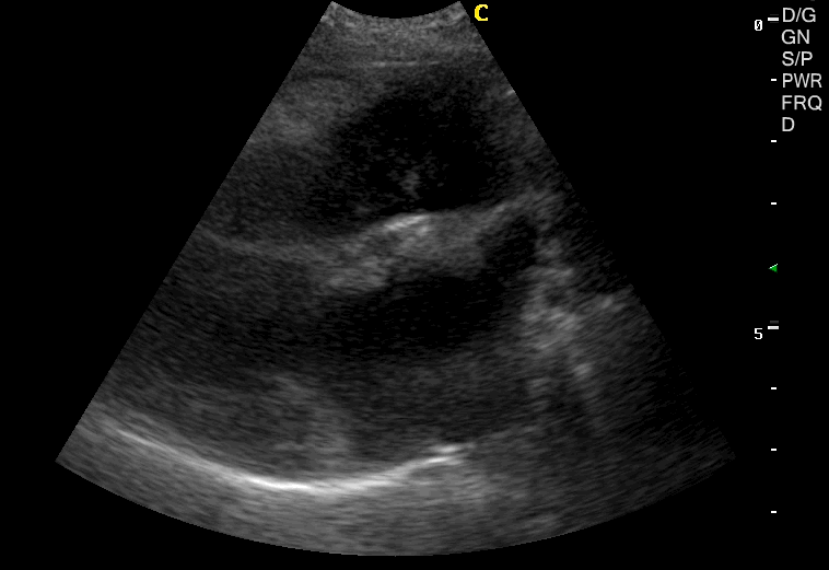
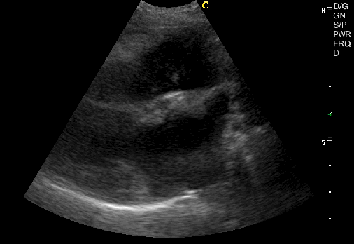
- Large, mixed echotexture mass that originated from the base of the heart, between the two large vessels (Pulmonary artery and Aorta), protruding into the right atrium.
- Pericardial effusion.
- Mild mitral valve degeneration with systolic regurgitation jet (1.5m/s)
- Mild dilated hepatic veins and caudal vena cava.
Diagnose: The owners didn’t want to proceed to further diagnostics. The patient went home with furosemide and ACEI. In literature has been described that almost all of the cardiac tumors originate from the right atrium1. The intrapericardial neoplasms with the highest frequency are Heamangiosarcomas (40.4%). There are also reports of Chemiodectomas2 (17.3%) and ectopic thyroid masses1 (<1%).
- Min-Hee, Dae- Young Kim, Hee- Myung Park Ectopic thyroid carcinoma infiltrating the right atrium of the heart in a dog. Can Vat J 2012;53:177-181
- Cigard C, Helie P, Odin M. Cardiac tumors in dogs;1982-1995. J vet Intern Med 1999;13:73-78.

Ασθενής: 11 ετών , θηλυκό στειρωμένο Beagle.
Ιστορικό: Συστήθηκε υπέρηχος λόγω περιοδικού βήχα, ήπιας κόπωσης στη βόλτα και βυθιότητα στην ακρόαση της καρδιάς.
Ευρήματα:
- Ευμεγέθης μάζα η οποία ξεκινούσε από την βάση της καρδιάς ανάμεσα από τα δύο μεγάλα αγγεία (πνευμονική αρτηρία και αορτή) και εκτεινόταν προς τον δεξιό κόλπο. Η μάζα ήταν μικτής ηχογένειας με αυξημένη αγγείωση και περιόριζε την κοιλότητα του δεξιού κόλπου.
- Παρουσία μικρής περικαρδιακής συλλογής με λεπτοκοκκώδες υγρό.
- Στοιχεία ενδοκάρδωσης της μιτροειδούς βαλβίδας, με όγκο αναγωγής προς τον αριστερό κόλπο ( 1.5m/s).
- Ήπια διάταση των ηπατικών φλεβών και της οπίσθιας κοίλης φλέβας.
Διάγνωση: Λόγω της θέσης της μάζας η ιδιοκτήτρια δεν θέλησε περεταίρω διερεύνηση και επιλέχτηκε υποστηρικτική θεραπεία. Με την μεγαλύτερη συχνότητα εμφάνισης από όλες τις νεοπλασίες της καρδιάς, αναφέρεται στη πρόσφατη βιβλιογραφία το αιμαγγεισάρκωμα (40%)και ακολουθεί το χημειοδέκτομα (17.3%)2. Η εμφάνιση μεταστατικών αλλοιώσεων στην καρδιά είναι σπάνια1-2 αλλά την μεγαλύτερη σε συχνότητα εμφάνιση έχει το λέμφωμα2.
- Min-Hee, Dae- Young Kim, Hee- Myung Park Ectopic thyroid carcinoma infiltrating the right atrium of the heart in a dog. Can Vat J 2012;53:177-181
- Cigard C, Helie P, Odin M. Cardiac tumors in dogs;1982-1995. J vet Intern Med 1999;13:73-78.
Κτηνίατροι οι οποίοι βοήθησαν στην διάγνωση και θαραπεία του περιστατικού:
Λέκκας Σπύρος, DVM
Λέκκα Μελίνα, DVM
