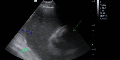
Cardiac Ultrasound, ΥΠΕΡΗΧΟΣ ΚΑΡΔΙΑΣ Intrapericardial mass in a Beagle/ Μάζα στην βάση της καρδιάς 7 Φεβρουαρίου, 2016