Patient:
8 yo female mixed breed dog
History:
She has been diagnosed with adrenal-dependent Cushing’s disease 4 months ago. The left adrenal gland was found enlarged and there were calcifications on its caudal pole. After undergoing treatment with Vetoryl (trilostane) the clinical symptoms subsided. The owner noticed increased thirst (polydipsia) and the resultant increased urination (polyuria) over the last week. Abdominal pain and recurrent vomiting were reported by the owner during the last 3 days.
Findings:
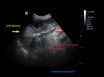
- Infiltration of the liver and presence of subcapsular hematoma.
- Clinical manifestation of pancreatitis and inflammation findings on the cranial abdomen.
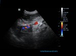
- Infiltration of the caudal vena cava by the adrenal gland, which had infiltrated all the surrounding tissues.
- Thromboses were present on the right and left renal vein due to stenosis of the caudal vena cava.
Diagnose:
Infiltration of the caudal vena cava caused by the left adrenal gland mass, thromboses of the right and left renal veins, lesions potentially metastatic in the liver and clinical manifestation of pancreatitis probably induced by high levels of corticosteroids.
Veterinarian who helped in diagnosis and treatment of the patient:
Papadea Elektra, DVM http://www.ktiniatros-menidi.gr/
_______________________________________________________
_______________________________________________________
Ασθενής:
Θηλυκός, ακέραιος, ημίαιμος, σκύλος 8 ετών.
Ιστορικό:
Έχει διαγνωσθεί με σύνδρομο Cushing επινεφριδιακού τύπου 4 μήνες πριν. Το αριστερό επινεφρίδιο είχε ελεγχθεί διογκωμένο και με παρουσία αποτιτανώσεων στον οπίσθιο πόλο του. Χορηγήθηκε θεραπεία με Vetoryl (τριλοστάνη) όπου και τα κλινικά συμπτώματα υποχώρησαν. Την τελευταία εβδομάδα ο ιδιοκτήτης παρατήρησε πολυουρία πολυδιψία και τις τελευταίες 3 ημέρες πόνο στην κοιλιακή κοιλότητα και περιοδικούς εμέτους.
Ευρήματα:
- Διήθηση του ηπατικού παρεγχύματος και παρουσία υποκαψικού αιματώματος.
- Εικόνα παγκρεατίτιδας και παρουσία στοιχείων φλεγμονής στην πρόσθια κοιλία.
- Διήθηση της οπίσθιας κοίλης φλέβας από την μάζα του επινεφριδίου, η οποία είχε διηθήσει όλους τους γύρω ιστούς.
- Λόγω της στένωσης της οπίσθιας κοίλης φλέβας (CVC) βρέθηκαν θρομβώσεις στην δεξιά και αριστερή νεφρική φλέβα (renal vein).
Διάγνωση:
Διήθηση της οπίσθιας κοίλης φλέβας από την μάζα του αριστερού επινεφριδίου, θρόμβωση της δεξιάς και αριστερής νεφρικής φλέβας, αλλοιώσεις πιθανά μεταστατικές, στο παρέγχυμα του ήπατος και εικόνα παγκρεατίτιδας πιθανά λόγω αύξησης των κορτικοστεροειδών.
Κτηνίατροι οι οποίοι συμμετείχαν στην διάγνωση και θεραπεία του περιστατικού:
Παπαδέα Ηλέκτρα , κτηνίατρος http://www.ktiniatros-menidi.gr/





