Ασθενής: Θηλυκός ακέραιος, σκύλος, 1 έτους, φυλής Αγγλικό Μπουλντόκ
Ιστορικό: Προσκομίσθηκε λόγω ξαφνικής έναρξης εμέτων, πόνου στην πρόσθια κοιλία και μείωσης της όρεξης. Στο ιστορικό ο ιδιοκτήτης ανέφερε χρόνιους εμέτους οι οποίοι δεν βελτιώνονταν με την συμπτωματική αγωγή (αλλαγή διατροφής, αντιόξινα), χωρίς όμως να έχει επηρεαστεί η ανάπτυξη του ασθενή.
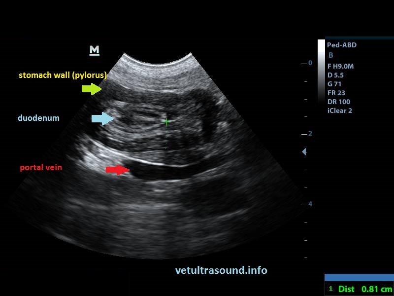
Ευρήματα: Διάταση του στομάχου με υγρό περιεχόμενο και αέρα. Εγκολεασμός του δωδεκαδακτύλου μέσα στον πυλωρό. Αύξηση της ηχογένειας του μεσεντερίου λίπους περιφερικά του εγκολεασμού. Ήπια διόγκωση των μεσεντέριων λεμφαδένων με αντιδραστική ηχομορφολογία.
Συζήτηση: Περιγράφονται 5 τέτοια περιστατικά, τα τέσσερα εκ των οποίων κατέληξαν, είτε λόγω ρήξης του πεπτικού σωλήνα, είτε λόγω πρόπτωσης τμήματος του παγκρέατος μέσα στον στόμαχο με συνέπεια την διάταση του παγκρεατικού και του κοινού ηπατικού πόρου. Σε όλα τα περιστατικά η διάγνωση έγινε στο χειρουργείο καθώς στην ακτινογραφία δεν ήταν δυνατό να αποσαφηνισθεί το αίτιο της έμφραξης. Σε ένα περιστατικό είχε γίνει ενδοσκόπηση. Όλα τα περιστατικά είχαν ιστορικό με χρόνιους εμέτους.
Patient: 1yo, female intact, English Bulldog.
History: The dog was presented to the veterinary practice with acute onset of vomiting, pain in the cranial abdomen and depression.
Findings: Marked distension of the stomach with fluids and air. Intussusception of the duodenum to the pylorus. Increased echogenicity of the mesenteric fat around the intussusception. Mild enlargement of the jejunal lymph nodes with reactive echotexture.
Discussion: There are 5 published cases with gastroduodenal intussusception. Four of them died because of stomach wall necrosis or protrusion of the pancreas in the intussusception. Thus, there was obstruction of the pancreatic and the common bile duct. In all cases the final diagnosis was made in surgery because in Xrays it is difficult to differentiate between intussusception and a radiolucent foreign body. In one case endoscopy was performed. All cases had history of chronic vomiting.
References:
Duodenogastric Intussusception with Concurrent Gastric Foreign Body in a Dog: A Case Report and Literature Review, David A. Allman, DVM JAAHA (MART/FEB 2013)
Gastroduodenal intussusception in a young dog, Watson PJ1 J, Small Anim Pract. (1997 Apr;38(4):163-7).
