Ασθενής : Ημίαιμο λυκόσκυλο 11 ετών αρσενικό στειρωμένο. Προσκομίστηκε με οίδημα στα κάτω άκρα, ασκίτη και δύσπνοια.
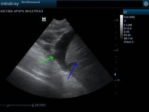
Έγινε υπέρηχος κοιλίας και καρδιάς. Στην κοιλιακή κοιλότητα βρέθηκε παρουσία άφθονου ασκιτικού υγρού.
( πράσινο βέλος ασκιτικό υγρό, μπλέ βέλος λοβοί του ήπατος)
Δεν βρέθηκαν αλλοιώσεις που θα δικαιολογούσαν την παρουσία υγρού στην κοιλιακή κοιλότητα.
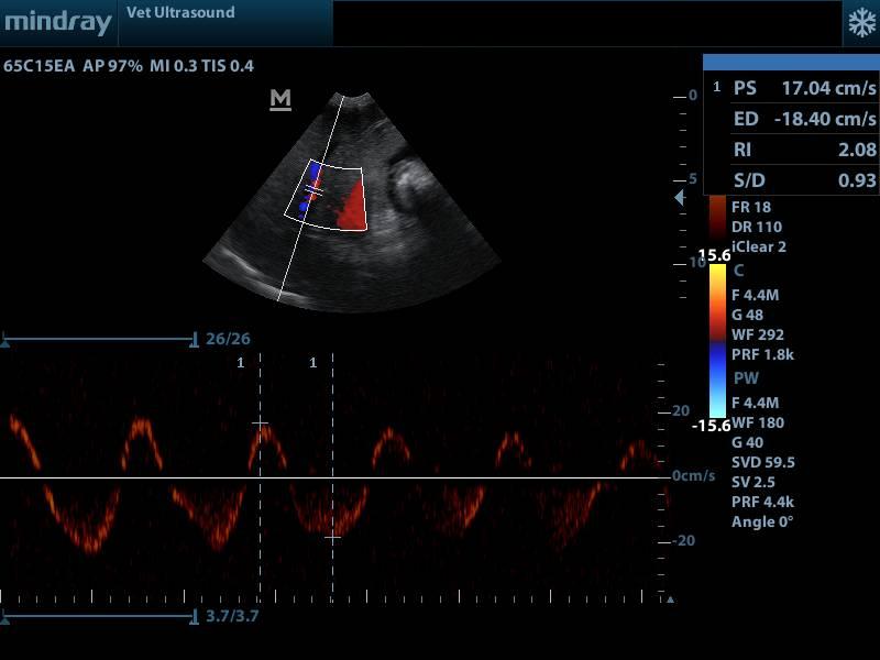
Στον έλεγχο της ροής της ηπατικής φλέβας ελέγχθηκε διαφορετική κυματομορφή ( to and fro)
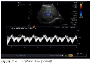
από την φυσιολογική (triphasic).
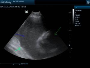
Αυτό μας καθοδήγησε πως πιθανόν ο ασκίτης να οφείλεται σε ανεπάρκεια της τριγλώχινης βαλβίδας της δεξιάς καρδιάς. Στον έλεγχο της καρδιάς διαγνώστηκε περικαρδιακή συλλογή με καρδιακό επιπωματισμό, και μία μάζα η οποία εντοπιζόταν στον δεξιό κόλπο.
(πράσινο βέλος περικάρδιο, μπλέ βέλος περικαρδιακή συλλογή)
Έγινε περικαρδιοκέντηση ο ασθενής ανακουφίστηκε άμεσα. Λόγω οικονομικών δυσκολιών ο ιδιοκτήτης δεν θέλησε να σταλεί για κυτταρολογικό έλεγχο το υγρό της περικαρδιακής συλλογής, εφόσον η πρόγνωση ήταν δυσμενής. Η συνήθης διαφορική διάγνωση για τα νεοπλάσματα της βάσης της καρδιάς είναι το χημειοδέκτωμα, το αιμαγγειοσάρκωμα το μεταστατικό νεόπλασμα του θυρεοειδή και άλλα σαρκώματα.
Τα υλικά που χρησιμοποιήθηκαν για την περικαρδιοκέντηση είναι :
Φλεβοκαθετήρας πράσινος 18G








