Ασθενής: Γάτα, θηλυκή στειρωμένη
Ηλικία: 14 ετών Φυλή: κοινή ευρωπαική.
Ζητήθηκε υπέρηχος λόγω έντονης διόγκωσης της κοιλίας, κατάπτωσης , μείωσης του αιματοκρίτη και αύξησης των λευκών αιμοσφαιρίων ιδιαίτερα των λεμφοκυττάρων.
Ευρήματα: Παρουσία άφθονου ασκιτικού υγρού, μάζα του λεπτού εντέρου με παρουσία διηθήσεων του στομάχου και του υπόλοιπου πεπτικού σωλήνα (Έγινε FNA της μάζας, με λεπτή βελόνη), διόγκωση μεσεντέριων λεμφαδένων, παρουσία κύστης στη μυελώδη μοίρα του αριστερού νεφρού.
Διάγνωση: Πεπτικό Λέμφωμα.
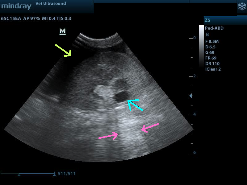
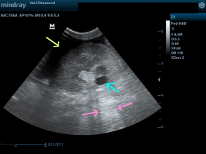
κίτρινο βέλος ελέυθερο υγρό στη περιτοναική κοιλότητα, μπλέ βέλος κύστη του νεφρικού παρεχγχύματος, ροζ βέλη ακουστική ενίσχυση ( επιβεβαίωση πως πρόκειται για κύστη και όχι για κάποια υποηχογενή μάζα).
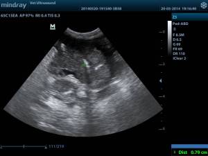
πάχος την μάζας 0.79 cm, φυσιολογικό πάχος λεπτού εντέρου 0.2 -0.3 cm
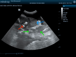
κόκκινο βέλος εντερικό περιεχόμενο, μπλέ βέλος μάζα με απώλεια της χαρακτηριστικής δομής του λεπτού εντέρου., πράσινα βέλη διογκωμένος μεσεντέριος λεμφαδένας.
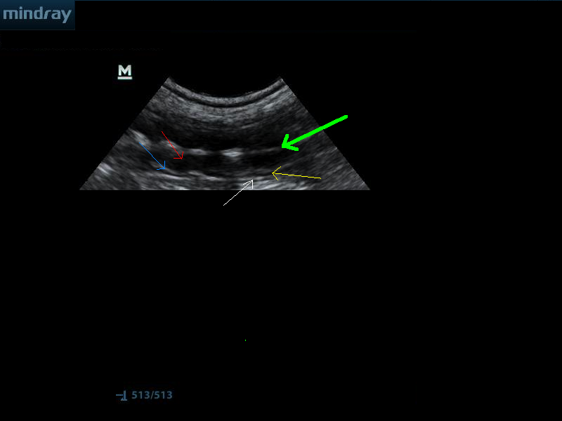
φυσιολογική διαστρωμάτωση λεπτού εντέρου, πράσινο βέλος αυλός του εντέρου( άσπρος λόγω ανάμειξης υγρού και αέρα), κόκκινο βέλος βλεννογόνος ( μαύρο), μπλέ βέλος υποβλεννογόνιος(άσπρο), κίτρινο βέλος μυικός χιτώνας (μαύρο), άσπρο βέλος ορογόνος (άσπρο)




