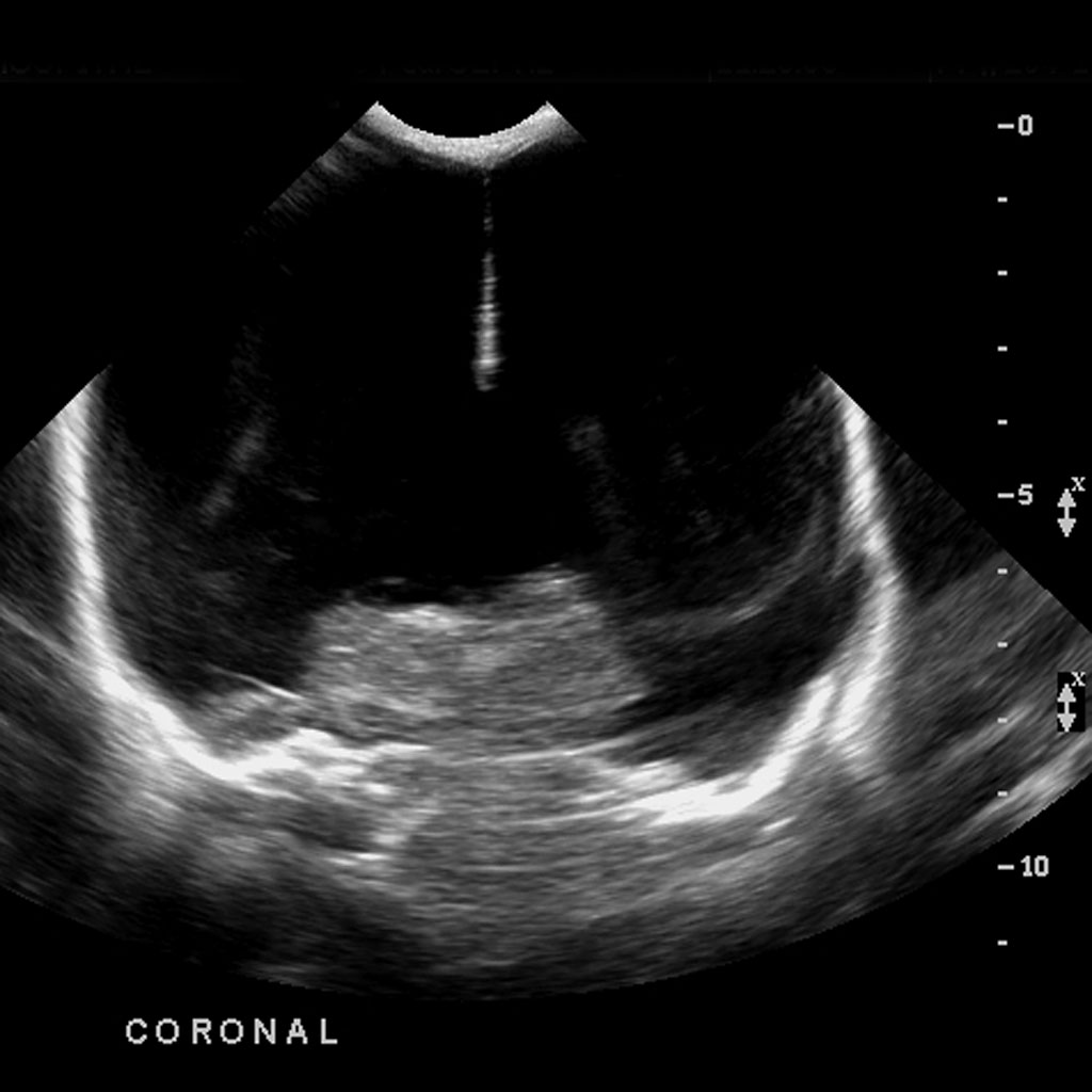
ΑΣΘΕΝΗΣ: YORKSHIRE TERRIER ΘΗΛΥΚΟ 2.5 ΜΗΝΩΝ ΠΡΟΣΚΟΜΙΣΤΗΚΕ ΛΟΓΩ ΑΠΟΤΟΜΗΣ ΕΜΦΑΝΙΣΗΣ ΣΥΜΠΤΩΜΑΤΩΝ ΕΓΚΕΦΑΛΙΚΟΥ ΣΥΝΔΡΟΜΟΥ ( ΚΙΝΗΣΕΙΣ ΒΥΤΙΟΥ , ΕΠΙΘΕΤΙΚΟΤΗΤΑ ΚΑΤΑ ΤΗΝ ΕΞΕΤΑΣΗ ΠΙΘΑΝΟΝ ΛΟΓΩ ΑΠΩΛΕΙΑΣ ΤΗΣ ΟΡΑΣΗΣ, ΑΠΟΚΛΙΝΟΝ ΣΤΡΑΒΙΣΜΟΣ) ΚΑΙ ΚΑΘΥΣΤΕΡΗΣΗ ΑΝΑΠΤΥΞΗΣ. ΤΟ ΤΡΗΜΑ ΠΟΥ ΒΡΙΣΚΕΤΑΙ ΜΕΤΑΞΥ ΜΕΤΩΠΙΑΙΟΥ ΚΑΙ ΤΩΝ ΔΥΟ ΒΡΕΓΜΑΤΙΚΩΝ ΟΣΤΩΝ ΔΕΝ ΕΙΧΕ ΚΛΕΙΣΕΙ, ΕΤΣΙ ΚΑΙ ΑΠΟΦΑΣΙΣΤΗΚΕ ΝΑ ΓΙΝΕΙ ΥΠΕΡΗΧΟΣ ΟΠΟΥ ΚΑΙ ΔΙΑΓΝΩΣΤΗΚΕ ΥΠΕΡΜΕΤΡΗ ΔΙΑΤΑΣΗ ΤΩΝ ΠΛΑΓΙΩΝ ΚΟΙΛΙΩΝ, ΣΤΗΝ ΔΙΑΦΟΡΙΚΗ ΔΙΑΓΝΩΣΗ ΤΕΘΗΚΕ Ο ΥΔΡΟΚΕΦΑΛΟΣ ΚΑΙ Η ΥΔΡΑΝΕΓΚΕΦΑΛΙΑ ΛΟΓΩ ΤΗΣ ΠΛΗΡΗΣ ΑΠΩΛΕΙΑΣ ΤΗΣ ΦΥΣΙΟΛΟΓΙΚΗΣ ΔΟΜΗΣ ΤΟΥ ΕΓΚΕΦΑΛΙΚΟΥ ΠΑΡΕΓΧΥΜΑΤΟΣ ΓΥΡΩ ΑΠΟ ΤΙΣ ΚΟΙΛΙΕΣ. Ο ΙΔΙΟΚΤΗΤΗΣ ΕΠΕΛΕΞΕ ΕΥΘΑΝΑΣΙΑ. ΑΚΟΛΟΥΘΗΣΕ ΝΕΚΡΟΨΙΑ ΟΠΟΥ ΚΑΙ ΕΠΙΒΕΒΑΙΩΘΗΚΕ Η ΔΙΑΓΝΩΣΗ ΤΟΥ ΥΔΡΟΚΕΦΑΛΟΥ ΚΑΘΩΣ ΟΙ ΚΟΙΛΙΕΣ ΠΕΡΙΒΑΛΟΝΤΑΝ ΑΠΟ ΕΓΚΕΦΑΛΙΚΗ ΟΥΣΙΑ ΚΑΙ ΟΧΙ ΜΟΝΟ ΑΠΟ ΤΙΣ ΜΗΝΙΓΓΕΣ.
Η ΠΡΩΤΗ ΕΙΚΟΝΑ ΠΟΥ ΠΗΡΑ ΑΠΟ ΤΟΝ ΥΠΕΡΗΧΟ. ΟΙ ΔΥΟ ΠΡΑΣΙΝΕΣ ΓΡΑΜΜΕΣ ΟΡΙΟΘΕΤΟΥΝ ΤΗΝ ΠΕΡΙΟΧΗ ΑΠΟ ΤΟ ΥΠΟΛΟΙΠΟΜΕΝΟ ΕΓΚΕΦΑΛΙΚΟ ΠΑΡΕΓΧΥΜΑ. ΥΠΗΡΧΕ ΟΜΩΣ Η ΥΠΟΨΙΑ ΥΔΡΑΝΕΓΚΕΦΑΛΙΑΣ.
ΔΑΝΕΙΖΟΜΑΙ ΑΥΤΗ ΤΗΝ ΕΙΚΟΝΑ ( http://radiopaedia.org/images/151709) ΑΠΟ ΙΣΤΟΤΟΠΟ ΑΝΘΡΩΠΙΝΟΥ ΑΠΕΙΚΟΝΙΣΜΟΥ ΓΙΑ ΝΑ ΔΕΙΞΩ ΠΩΣ Η ΕΙΚΟΝΑ ΤΗΣ ΥΔΡΑΝΕΓΚΕΦΑΛΙΑΣ ΜΟΙΑΖΕΙ ΣΤΟΝ ΥΠΕΡΗΧΟ ΣΕ ΑΥΤΟ ΤΟ ΠΕΡΙΣΤΑΤΙΚΟ.
http://hydranencephaly.com/braindiagrams.htm
ΣΤΟΝ ΙΣΤΟΤΟΠΟ ΑΥΤΟ ΠΕΡΙΓΡΑΦΕΤΑΙ Η ΕΙΚΟΝΑ ΤΗΣ ΥΔΡΑΝΕΓΚΕΦΑΛΙΑΣ. Ο ΕΓΚΕΦΑΛΙΚΟΣ ΙΣΤΟΣ ΑΝΤΙΚΑΘΙΣΤΑΤΑΙ ΑΠΟ ΕΓΚΕΦΑΛΙΚΟ ΥΓΡΟ.
ΣΤΗΝ ΕΙΚΟΝΑ ΑΥΤΗ ΒΛΕΠΟΥΜΕ ΤΗΝ ΔΙΑΤΑΣΗ ΤΗΣ 3ΗΣ ΚΟΙΛΙΑΣ ( ΜΠΛΕ ΒΕΛΟΣ ), ΔΙΕΝΓΚΕΦΑΛΟΣ ( ΚΟΚΚΙΝΟ ΒΕΛΟΣ ), ΟΙ ΠΑΥΛΕΣ ΑΦΟΡΙΖΟΥΝ ΤΟ REVERBERATION ARTIFACT ΠΟΥ ΔΗΜΙΟΥΡΓΕΙΤΑΙ ΛΟΓΩ ΜΗ ΚΑΛΗΣ ΕΠΑΦΗΣ ΤΟΥ ΗΧΟΒΟΛΕΑ ΜΕ ΤΟΝ ΑΣΘΕΝΗ.




