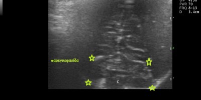
Brain Scan Hydrocephalus in Yorkshire Terrier/ ΥΔΡΟΚΕΦΑΛΙΑ ΣΕ ΦΥΛΗ YORKSHIRE TERRIER 25 Ιουνίου, 2014
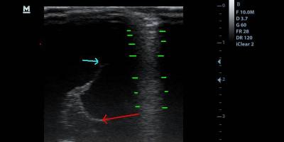
Brain Scan Brain Scan in a Chihuahua Puppy/ Έλεγχος για υδροκέφαλο σε φυλή Τσιουάουα. 22 Απριλίου, 2014