Ασθενής: Λυκόσκυλο, αρσενικό ακέραιο 16 ετών προσκομίστηκε λόγω ακράτειας ούρων, κατάπτωσης και πόνο κατά την ψηλάφηση της ουράς.
Έγινε υπέρηχος κοιλίας όπου και βρέθηκε διάταση της ουροδόχου κύστης η οποία καταλάμβανε τα 2/3 της κοιλιακής κοιλότητας. Έπειτα από ούρηση του ασθενή έγινε επανεκτίμηση του όγκου της ουροδόχου κύστης ο οποίος παρέμενε ίδιος χωρίς ιδιαίτερη αλλαγή στο μέγεθός του. Έγινε καθετηριασμός όπου και απομακρύνθηκαν 3 Lt ούρου. Φυσιολογικά μετά την ούρηση δεν θα έπρεπε να έχουν μείνει πάνω από 20 ml σύμφωνα με τα κιλά του ασθενή. Μετά τον καθετηριασμό ελέγχθηκε η ουροδόχος η οποία ήταν άτονη (δεν διατηρούσε το οβάλ σχήμα της) και συμπιεζόταν από τους γύρω ιστούς (παχύ και λεπτό έντερο, σπλήνας).
Μαζί με το εύρημα της άτονης κύστης βρέθηκε παρουσία άφθονων ενδοπροστατικών και παραπροστατικών κύστεων και ήπια διάταση της ενδοπροστατικής μοίρας της ουρήθρας. Έγινε απεικονιστικός έλεγχος όπου και ελέγχθηκε ανάπτυξη οστεοφύτων στην οσφυοιερή μοίρα της σπονδυλικής στήλης. Στην νευρολογική εξέταση της περινεικής περιοχής βρέθηκε έντονος πόνος κατά την κίνηση της ουράς και φυσιολογική η αισθητικότητά της.
Πολύ συχνά στις μεγαλώσωμες φυλές συναντάμε στένωση του νωτιάιου σωλήνα στο ύψος του Ο7- Ι1 ( παραμορφωτική σπονδύλωση, degenerative lumbosacral stenosis ) λόγω αστάθειας και βλέπουμε έντονη ανάπτυξη οστεοφύτων σταθεροποίησης. Η συμπίεση των νεύρων της περιοχής, η οποία προέρχεται λόγω κήλης του δίσκου ή της επέκτασης των οστεοφύτων μέσα στο σπονδυλικό σωλήνα, μπορεί να προκαλέσει ακράτεια ούρων ( κάτω κινητικών νευρώνων), κοπράνων, πόνο κατά την βάδιση και ιδιαίτερα κατά την υπερέκταση της σπονδυλικής στήλης. Επειδή οι αλλοιώσεις είναι τοπικές πολλές φορές το υπογάστριο νεύρο που νευρώνει τις λύες μυικές ίνες του έσω σφιγκτήρα δεν επηρεάζεται και έτσι η ουροδόχος γεμίζει χωρίς να αδειάζει ενώ παράλληλα ο ασθενής αισθάνεται το αίσθημα του κορεσμού αλλά ο μυς της ουροδόχου κύστης δεν μπορεί να συσπασθεί.
δανείζομαι μία εικόνα από το διαδίκτυο (http://vavetspecialists.com/wp-content/uploads/2010/11/LS2.jpg, http://vavetspecialists.com/wp-content/uploads/2010/11/LS2.jpg) για να δείξω το σύνηθες σημείο συμπίεσης του νωτιαίου μυελού.
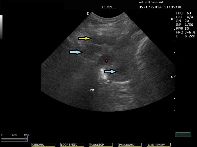
βλέπουμε την διατεταμένη ουροδόχο κύστη και τον προστάτη αδένα. Οι κέρσορες μετρούν το μέγεθος μίας κύστης στο παρέγχυμα του οργάνου.
Το κίτρινο βέλος δείχνει μία παραπροστατική κύστη η οποία καλύπτεται μόνο από την κάψα του αδένα.
Τα μπλέ βέλη δείχνουν δύο ενδοπροστατικές κύστεις
Το κόκκινο αστέρι δείχνει την διατεταμένη ουρήθρα.
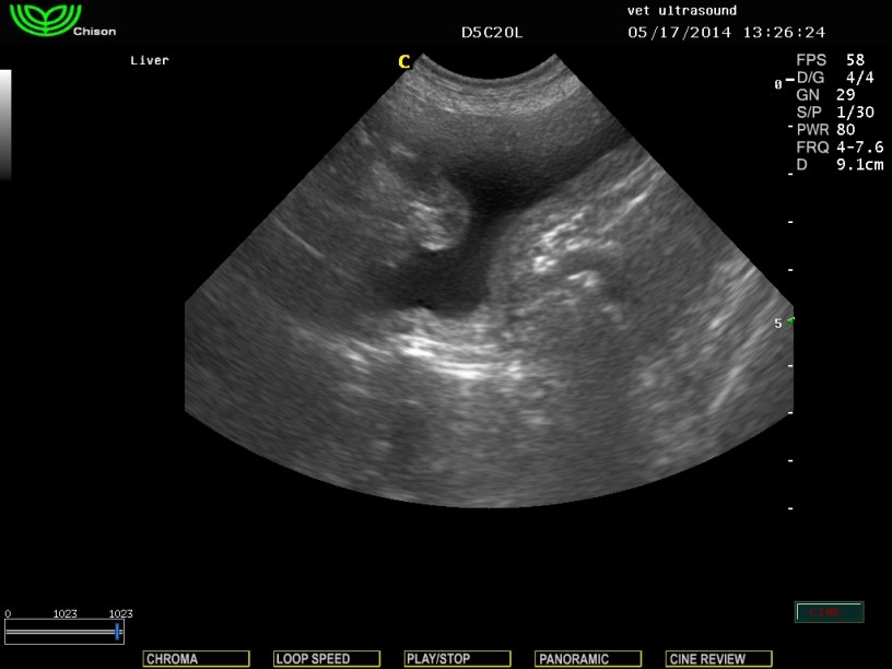
βλέπουμε το ακανόνιστο σχήμα της ουροδόχου μετά τον καθετηριασμό σε εγκάρσια τομή.
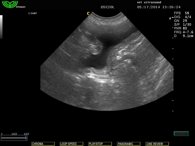
εδώ πάλι μετά τον καθετηριασμό σε επιμήκη τομή συμπιέζεται από τον σπλήνα και από το παχύ έντερο.



