Patient: 6yo female rabbit.
History: The owners complained about bloody discharge from the vulva, loss of appetite and depression.
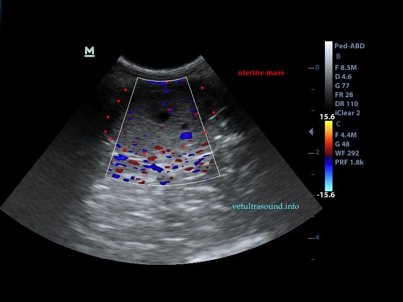
Findings: There were three uterine masses with hypoechoic center. They were located one on the left uterine horn and two on the right. No abdominal fluid was noted. The rest of the abdominal organs were normal.
Diagnose: Uterine adenocarcinoma. The owners proceeded to ovariohysterectomy.
Related links:
Cancer of the Uterus in Rabbits
Ασθενής: Θηλυκό ακέραιο κουνέλι 6 ετών.
Ιστορικό: Τις τελευταίες δέκα ημέρες παρουσιάζει αιμορραγικό έκκριμα από το αιδοίο, μειωμένη διάθεση και όρεξη για φαγητό.
Ευρήματα: Στην υπερηχοτομογραφική εξέταση βρέθηκε πάχυνση του τοιχώματος της μήτρας. Στα δύο κέρατα βρέθηκαν μάζες οι οποίες αφορούσαν το τοίχωμα της μήτρας. Η ηχογένειά τους ήταν ίδια με το υπόλοιπο τοίχωμα της μήτρας ενώ κεντρικά υπήρχε υπόηχη περιοχή. Η αιμάτωση ήταν μειωμένη. Δεν βρέθηκε υγρό στην κοιλιακή κοιλότητα ενώ τα υπόλοιπα όργανα ελέγχθηκαν φυσιολογικά.
Διάγνωση: Αδενοκαρκίνωμα της μήτρας. Έγινε χειρουργική αφαίρεση της μήτρας και των ωοθηκών.
Κτηνίατροι οι οποίοι συμμετείχαν στην διάγνωση και θεραπεία του περιστατικού:
- Δουκάκη Χριστίνα, DVM, Resident in Avian medicine and surgery.
- Vet Piraeus ( Κτηνιατρικό Κέντρο Πειραιά)
