Patient: 5yo male Pit Bull terrier.
History: He has been afflicted with Leishmania a year ago. The antibodies title is 1/1600 although he had been treated with Miltefosin. He had also been diagnosed with chronic kidney failure since a year ago. The last ten days he has clinical symptoms of uremia.
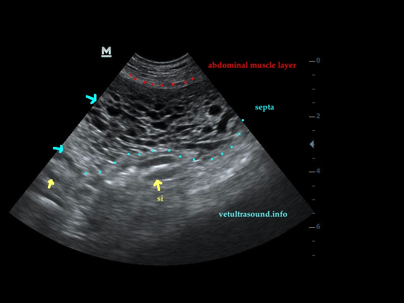
Findings: Signs of uremic gastritis. Ascites (transudate) and septa surrounding all the abdominal organs were found. The kidneys were small in size and the resistive index of the interlobular arteries was low.
Diagnose: Encapsulating peritoneal sclerosis.
It is evident in dogs with Leishmania, history of surgery, septic peritonitis or chronic peritoneal foreign bodies.
Related links:
Encapsulating peritoneal sclerosis associated with abnormal liver development in a young dog.
Encapsulating_peritoneal_sclerosis
Ασθενής: Αρσενικός, ακέραιος, σκύλος , 5 ετών, φυλής Pit Bull terrier.
Ιστορικό: Εδώ και ένα χρόνο ο ασθενής είναι θετικός στην Λεϊσμανίωση, με τίτλο αντισωμάτων 1/1600 και έχει χρόνια νεφρική ανεπάρκεια. Το τελευταίο διάστημα η τιμή της κρεατινίνης έχει αυξηθεί 5mg/dL και ο ασθενής έχει συμπτώματα ουραιμίας.
Ευρήματα: Εικόνα ουραιμικής γαστρίτιδας. Παρουσία ασκιτικής συλλογής (διύδρωμα) και ινικής η οποία περιέβαλε όλα τα όργανα της κοιλιακής κοιλότητας. Το νεφρικό παρέγχυμα ελέγχθηκε αλλοιωμένο και ο δείκτης αγγειακής αντίστασης βρέθηκε μειωμένος ( στοιχείο χρόνιας νεφρικής ανεπάρκειας).
Διάγνωση: Σκληρυντική περιτονίτιδα. Συναντάται σε ασθενείς που νοσούν από Leishmania, ιστορικό ευρείας επέμβασης στην κοιλία, μικροβιακή περιτονίτιδα ή χρόνια παρουσία ξένου σώματος.
Κτηνίατροι οι οποίοι συμμετείχαν στην διάγνωση και θεραπεία του περιστατικού:
Γρηγορόπουλος Χρήστος, DVM (Κτηνιατρική Αλίμου)
