Ιστορικό: Tα τελευταία 4 χρόνια έχει θετικό τίτλο αντισωμάτων για τη Leishmania. Χορηγείται καθημερινά αλοπουρινόλη και έχουν γίνει δύο κύκλοι θεραπείας με Μιλτεφοσύνη οι οποίοι ολοκληρώθηκαν πριν δύο χρόνια. Ο τίτλος αντισωμάτων έχει μειωθεί σημαντικά. Τα τελευταία 2 χρόνια η τιμή της ουρίας και της κρεατινίνης είναι αυξημένες. Πριν έξι μήνες διαγνώσθηκε πυελονεφρίτιδα η οποία και αντιμετωπίσθηκε με αντιβιωτικά και την απαιτούμενη οροθεραπεία.
Η υπερηχοτομογραφική εξέταση έγινε στα πλαίσια προληπτικού ελέγχου.
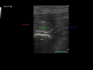
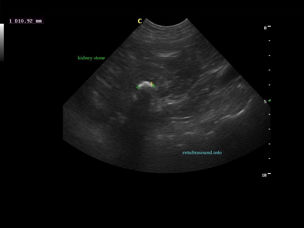
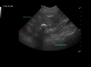
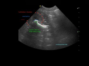
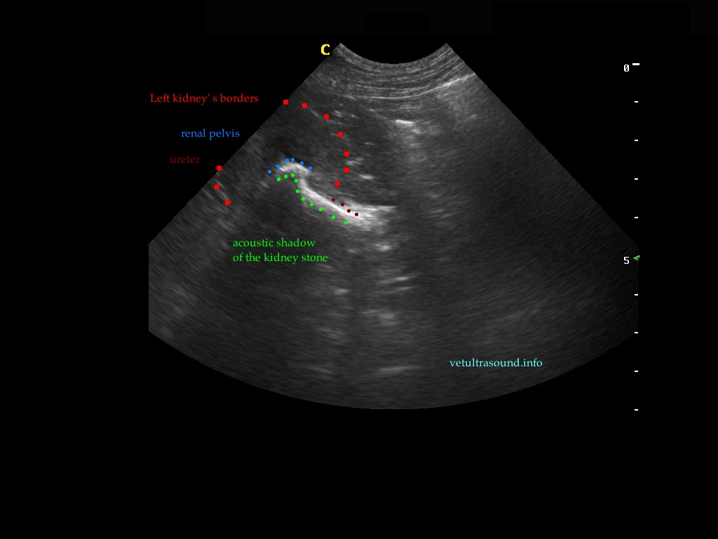
Ευρήματα: Παρουσία λίθου στην πύελο του αριστερού νεφρού ο οποίος καταλάμβανε όλη την κοιλότητά της και εκτεινόταν στο πρώτο τμήμα του ουρητήρα. Ο λίθος προκαλούσε ήπια διάταση του πυελοκαλυκικού συστήματος και του ουρητήρα. Αντίστοιχα στον δεξιό νεφρό βρέθηκε λίθος ο οποίος εντοπιζόταν μόνο στην κοιλότητα της νεφρικής πυέλου. Στην ουροδόχο κύστη βρέθηκε μικρή παρουσία ιζήματος.
Διάγνωση: Έγινε λήψη ούρου με παρακέντηση υπό την καθοδήγηση υπερήχου. Στην κυτταρολογική εξέταση βρέθηκε αφθονία κρυστάλλων οξαλικού ασβεστίου και μικρή ποσότητα μικροβιακού πληθυσμού. Οι κρύσταλλοι οξαλικού ασβεστίου έδωσαν την υποψία για υπερασβεστιαιμία η οποία θα μπορούσε να έχει προέλθει λόγω προϋπάρχοντος δευτερογενούς νεφρογενούς υπερπαραθυρεοειδισμού. Λόγω της δυσκολίας εκτίμησης της λειτουργίας του παραθυρεοειδή και του αυξημένου κόστους των εξετάσεων επιλέχθηκε να γίνει μόνο βιοχημικός έλεγχος όπου και βρέθηκε αυξημένο ασβέστιο στο περιφερικό αίμα. Σαν θεραπεία δόθηκαν ουσίες που δεσμεύουν το ασβέστιο από τον πεπτικό σωλήνα.
Βασίλης Τζιοβάρας, DVM




