Patient: 7 yo Female Jack Russell terrier.
History: The owner complained about vomiting for three days. During consultation acute abdomen was found. The laboratory results showed a marked increase in WBC, ALKP and Lipase.
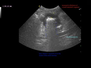
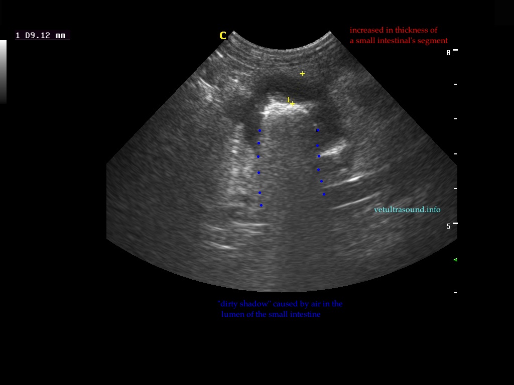
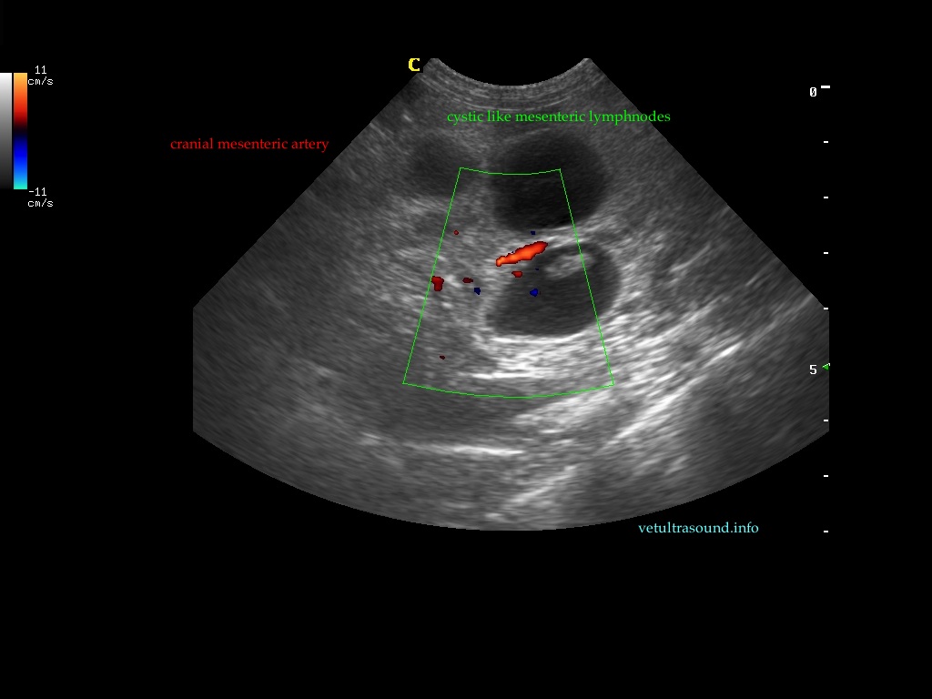
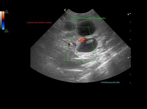
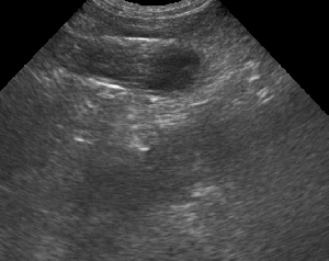
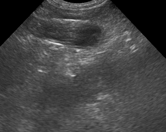
Findings: The ultrasound exam revealed a marked distention of a segment of the small intestine which ended in a narrowed lumen due to a thickened wall. The mesenteric lymph nodes were markendly enlarged and hypoechoic. A fine needle aspirate was performed.
Fine needle aspiration:
Materials:
Non sterilized single use plastic gloves.
21G needle
10ml syringe
Ultrasound Gel
Hibitane scrub
Alcohol
Glass plates
Method:
After we decided the path of the needle, the insertion site was prepared with the Hibitane scrub and alcohol. Then we applied some gel on the Linear probe and covered with the elastic glove. Then the syringe was loaded with 5ml of air and attached to the needle. We performed techniques with and without aspiration depending on the blood that sometimes was withdrawn. The diagnosis was Lymphoma.
The GIF shows the frames from the normal small intestinal layering to the thickened abnormal wall in a perpendicular view.
Veterinarians who participated in diagnosis and treatment:
Chandras Konstantinos, DVM (Vet Practice)
Ασθενής: 7 ετών, θηλυκός στειρωμένος σκύλος φυλής Jack Russell terrier.
Ιστορικό: Έμετοι εδώ και τρείς ημέρες, στην κλινική εξέταση διαπιστώθηκε οξεία κοιλία η οποία έκανε δύσκολη την λεπτομερή ψηλάφηση των οργάνων. Τα εργαστηριακά ευρήματα έδειξαν έντονη ουδετεροφιλία και ήπια αύξηση της ALKP και της Λιπάσης.
Ευρήματα: στην υπερηχοτομογραφική εξέταση βρέθηκε διάταση τμήματος εντερικής έλικας του λεπτού εντέρου, η οποία κατέληγε σε στένωση του αυλού εξαιτίας της διάχυτης πάχυνσης του τοιχώματος του λεπτού εντέρου. Οι μεσεντέριοι λεμφαδένες κοντά στην έκφυση της πρόσθιας μεσεντέριας αρτηρίας ελέγχθηκαν έντονα υπόηχοι και διογκωμένοι. Η λήψη κυτταρολογικού υλικού ήταν αναγκαία για τον χαρακτηρισμό των αλλοιώσεων, την εκτίμηση της θεραπείας και πρόγνωσης του περιστατικού.
Λήψη κυτταρολογικού υλικού:
Υλικά:
Γάντια μιας χρήσεως
Hibitane scrub
Alcohol
Βελόνα 21G
Σύριγγα 10 ml
Αντικειμενοφόρες πλάκες
Gel υπερήχου
Διαδικασία:
Αφού έγινε ο σχεδιασμός της πορείας της βελόνας η περιοχή εισόδου ξυρίστηκε πλύθηκε με hibitane scrub και έγινε έγχυση αλκοόλης. Εφαρμόσθηκε gel υπερήχου στην Linear κεφαλή και στη συνέχεια καλύφθηκε με γάντι μιας χρήσεως. Κατά την διάρκεια της επεμβατικής πράξης όταν η επαφή της κεφαλής με το δέρμα του ζώου δεν ήταν ικανοποιητική γινόταν εμπλουτισμός της περιοχής με αλκοόλη. Η σύριγγα οπλίσθηκε στα 5ml και προσαρμόσθηκε στη βελόνα 21G ώστε να γίνει όσο το δυνατόν πιο γρήγορα η εναπόθεση του κυτταρολογικού υλικού στην αντικειμενοφόρο πλάκα για να διατηρηθούν σε καλή κατάσταση τα κύτταρα του δείγματος. Στη συνέχεια έγιναν πολλαπλές λήψεις υλικού με την τεχνική της αναρρόφησης και χωρίς, αναλόγως με το αν υπήρχε ροή αίματος προς τη σύριγγα. Έγινε λήψη υλικού από τους λεμφαδένες και από την αλλοίωση στο έντερο. Η διάγνωση τέθηκε ως λέμφωμα.



