Patient: 3 yo male spayed Persian cat.
_________________________________________________________________________________________________
History: Vomiting, anorexia and weight loss since one week. Blood tests were with no clinical significance.
_________________________________________________________________________________________________
Findings: Α distention of the small intestine was noted. A corrugated small intestinal loop was found (pic1), which led to an acoustic shadow (pic2-3). This was because of an intraluminal foreign body, which was causing a partial obstruction of the small intestine.
_________________________________________________________________________________________________
Treatment: Surgical removal of the foreign body(pic4).
_________________________________________________________________________________________________
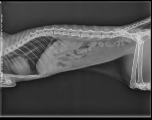
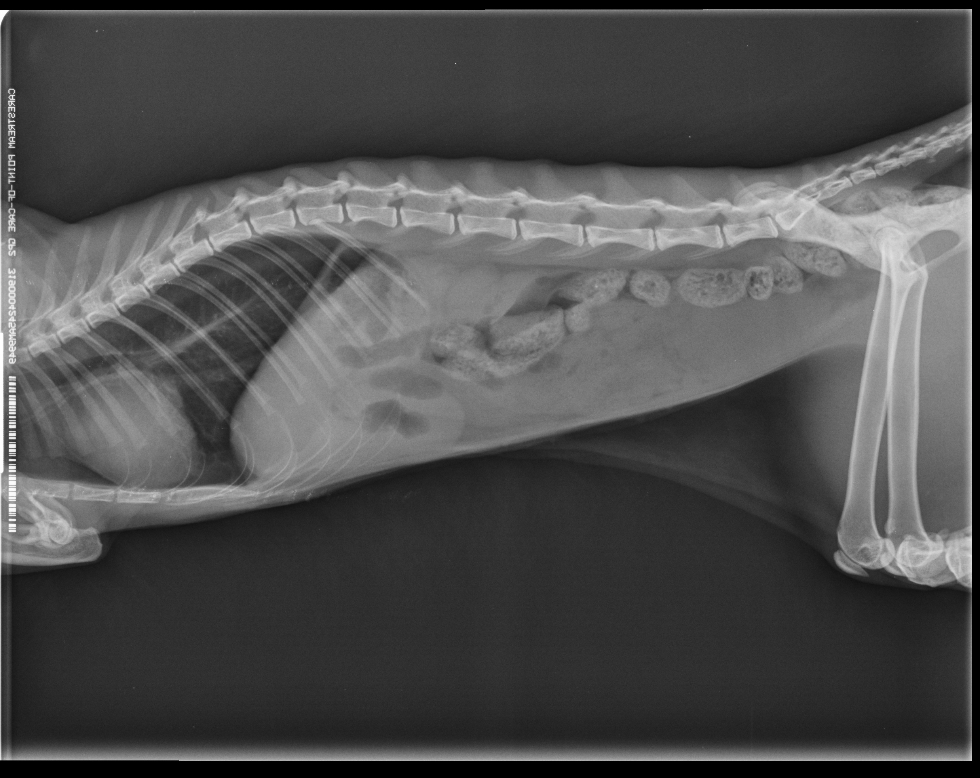
Ακτινογραφία πριν τον υπέρηχο(Xray made prior to the U/S)
_________________________________________________________________________________________________
_________________________________________________________________________________________________
Ασθενής: Αρσενικός στειρωμένος γάτος 3 ετών, Περσικής φυλής.
Ιστορικό: Έμετοι εδώ και μία εβδομάδα. Ανορεξία και απώλεια βάρους. Χωρίς παθολογικά ευρήματα τα αποτελέσματα των αιματολογικών εξετάσεων.
Ευρήματα: Διάταση του πεπτικού σωλήνα με αφθονία υγρών και αέρα. Βρέθηκε τμήμα του λεπτού εντέρου με έντονη πτύχωση του βλεννογόνου του (pic1) και παρουσία πιθανού ενδοαυλικού ξένου σώματος το οποίο δημιουργούσε μερική στένωση του εντέρου και ακουστική σκιά πέραν αυτού (pic2-3).
Αντιμετώπιση: Έγινε χειρουργική αφαίρεση του ξένου σώματος(pic4).
Κτηνίατροι οι οποίοι συμμετείχαν στην θεραπεία και την αντιμετώπιση του περιστατικού:
Γεωργιάδου Αμαλία, Κτηνίατρος, Pefkivet
Ντόρντας Ιωάννης, Κτηνίατρος, Pefkivet




