Patient: Female,spayed, 11 yo, Beagle
_________________________________________________________________________________________________
History: Generalised weakness, loss of appetite and vomiting since one week.
_________________________________________________________________________________________________
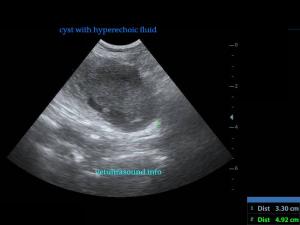
Findings: There was a mild enlargement of the mesenteric lymphnodes(pic3). In a small segment of the small intestine a cyst was noted which was attached to the intestinal wall(pic2.3). There were also dilated intestinal loops before the cyst due to the narrowed intestinal lumen. No free fluid was noted. There was a mild increase of the mesenteric fat arround the cyst.
_________________________________________________________________________________________________
Treatment: Surgical removal of the intestinal cyst.(pic4)
_________________________________________________________________________________________________
Diagnose: Duplicate intestinal cyst. I am attaching a link of a case report from the Canadian Veterinary Journal.
_________________________________________________________________________________________________
Επισυνάπτω ένα case report από το Canadian Veterinary Journal.
http://www.ncbi.nlm.nih.gov/pmc/articles/PMC339557/
http://en.wikipedia.org/wiki/Enteric_duplication_cyst
_________________________________________________________________________________________________
Ασθενής: Θηλυκό, στειρωμένο, ημίαιμο Beagle, 11 ετών
Ιστορικό: Αδυναμία, κατάπτωση, ανορεξία και έμετοι εδώ και μία εβδομάδα.
Ευρήματα: Στην υπερηχοτομογραφική εξέταση της κοιλίας βρέθηκε ήπια διόγκωση των μεσεντέριων λεμφαδένων με αντιδραστική ηχομορφολογία (pic3). Σε τμήμα του λεπτού εντέρου βρέθηκε κύστη με υπερηχογενές περιεχόμενο(pic2) η οποία εφαπτόταν στο τοίχωμά του (pic3)και μείωνε τον αυλό του. Υπήρχε διάταση των εντερικών ελίκων πριν από την κύστη αυτή. Δεν βρέθηκε ασκιτικό υγρό. Το μεσεντέριο λίπος περιφερικά αυτής ήταν υπερηχογενές.
Θεραπεία: Έγινε χειρουργική αφαίρεση του τμήματος. (pic4)
Διάγνωση: Δίλοβος εντερική κύστη, στην εικόνα από το χειρουργείο φαίνεται η κύστη ανοιγμένη πλέον. Συχνά αποτελούν τυχαία ευρήματα,διότι πολλές φορές αν δεν επιπλακούν ή δεν επηρεάσουν χωροκατακτητικά την κινητικότητα του εντέρου δεν δίνουν άλλα συμπτώματα. Η παθοφυσιολογία τους συνήθως είναι εμβρυικής αιτιολογίας.
Κτηνίατροι οι οποίοι συμμετείχαν στη διάγνωση και θεραπεία του περιστατικού:
Καλογρίδης Δημήτριος, DVM (VET PLUS)
Χαριτάκης Δημήτριος, DVM (HM VETS)
Μουζακίτης Ηλίας, DVM, MSc (HM VETS)




