Patient: 10 yo, male Labrador Retriever.
History:
- Mild elevation of the liver enzymes
- 30.000 WBC
- Chronic diarrhea
- Loss of appetite since 10 days
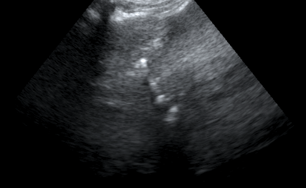
Findings: There was a loss of the normal sonographic appearance of the liver. There was also noted an increase in liver’s size. The owner did not want to proceed to an FNA or a Biopsy. During the evaluation of the portal vein, air was noted. There was also striation of the small intestine’s mucosa. The air must had travelled from the damaged intestinal mucosa through the cranial mesenteric vein, to the portal vein.


In these videos there is a dirty »shadow» caused by the air in the portal vein.
Στα βίντεο διακρίνεται η «βρώμικη» ακουστική σκιά η οποία δημιουργείται από τον αέρα στην πυλαία φλέβα.
Ασθενής: 10ετών αρσενικός σκύλος, φυλής Λαμπραντόρ.
Ιστορικό: Ήπια αύξηση των ηπατικών ενζύμων, 30.000 WBC, κατάπτωση ανορεξία και χρόνιες διάρροιες.
Ευρήματα: Διόγκωση του ήπατος και απώλεια της φυσιολογικής δομής του οργάνου. Η εικόνα ήταν συμβατή με νεοπλασματική εξεργασία του ήπατος. Ο ιδιοκτήτης δεν θέλησε να προχωρήσουμε σε περαιτέρω διαγνωστκές εξετάσεις.Κατά τον έλεγχο της πυλαίας φλέβας βρέθηκε αέρας στο εσωτερικό της. Ο αέρας προερχόταν από τον βλεννογόνο του εντέρου καθώς απεικονιζόταν έντονα υπερηχογενής στοιχείο συμβατό με ίνωση, καταστροφή του βλεννογόνου ή αιμορραγική γαστρεντερίτιδα. Δεν είχαν αναφερθεί αιμοραγικές διάρροιες από τον ιδιοκτήτη. Η πρόγνωση του περιστατικού ήταν δυσμενής καθώς ο αέρας στην πυλαία φλέβα σημαίνει πως έχει καταστραφεί ο βλεννογόνιος φραγμός του εντέρου και συνεπώς η είσοδος μικροβίων στη συστηματική κυκλοφορία είναι η πιο συχνή επιπλοκή.
