Patient: Male 9mo Shepherd Cross Dog.
_________________________________________________________________________________________________
History: Two months prior to the examination, the owner had seen blood in the patient’s urine. This symptom subsided with antibiotics. The last ten days before the ultrasound exam, the owner noted loss of appetite. A CBC revealed increase in WBC (30.000) with a left shift. The rest of the blood parameters were WNL. During these last ten days the owner noted a distention of the patient’s abdomen and the veterinarian who examined the dog palpated a mass in his cranial abdomen.
_________________________________________________________________________________________________
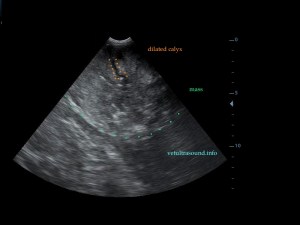
Findings: A mixed echotexture mass which was pushing the intestines caudally was found. The mass had decreased blood flow with the Color Flow Doppler. Diffuse calcinomatosis was also noted(pic1). This mass originated from the right kidney(pic3). Only near the renal pelvis there was a small area that resembled normal kidney tissue(pic2).
pic1
pic2
pic3
pic4
________________________________________________________________________________________________
Diagnosis: The differential diagnose included the pyogranulomatous inflammation of the kidney due to a pyelonephritis and the neoplastic proliferation of the right kidney. After surgery a 5kg mass removed. The biopsy revealed a nephroblastoma.
_________________________________________________________________________________________________
Παραθέτω την ηλεκτρονική διεύθυνση μιας εργασίας στο θέμα του νεφροβλαστώματος, τα ευρήματα της οποίας συμβαδίζουν με την εικόνα αυτού του περιστατικού.
http://www.ncbi.nlm.nih.gov/pmc/articles/PMC3685002/
Ασθενής: Αρσενικός σκύλος 9 μηνών, Ημίαιμο Τσοπανόσκυλο.
Ιστορικό: Πριν από δύο μήνες ο ιδιοκτήτης είχε παρατηρήσει αιματουρία η οποία με αντιβιοθεραπεία υποχώρησε. Το τελευταίο διάστημα ( 10 ημέρες ) πριν γίνει ο υπέρηχος ο ιδιοκτήτης παρατήρησε κατάπτωση του ασθενή και οι εξετάσεις αίματος έδειξαν 30.000 WBC με κλίση προς τα αριστερά. Οι υπόλοιπες τιμές των αιματολογικών και βιοχημικών παραμέτρων που εξετάστηκαν ήταν μέσα στα φυσιολογικά όρια. Μέσα σε αυτές τις 10 ημέρες ο ιδιοκτήτης παρατήρησε διόγκωση της κοιλίας του ασθενή και ο κτηνίατρος που τον εξέτασε ανέφερε πως ψηλαφάται μία συμπαγής μάζα.
Ευρήματα: Βρέθηκε μάζα η οποία καταλάμβανε όλο το πρόσθιο τμήμα της κοιλιακής χώρας και απωθούσε τον πεπτικό σωλήνα προς τα κάτω και πίσω. Η μάζα είχε μειωμένη αιμάτωση στον έλεγχο με έγχρωμο Doppler ενώ το παρέγχυμά της ήταν συμπαγές με αφθονία επασβεστώσεων(pic1). Η μάζα αυτή αφορούσε το δεξιό νεφρό η οποία τον είχε αλλοιώσει τελείως (pic3)και μόνο στο τμήμα κοντά στην νεφρική πύελο διατηρούσε τη φυσιολογική δομή(pic2). Τα υπόλοιπα παρεγχυματικά όργανα βρέθηκαν φυσιολογικά. Δεν υπήρχε διάταση του σύστοιχου ουρητήρα και η ουροδόχος κύστη βρέθηκε φυσιολογική.
Διάγνωση: Η διαφορική διάγνωση συμπεριελάμβανε τον πυόνεφρο ( πιθανά λόγω από πυελονεφρίτιδας) ή την νεοπλασματική διήθηση του οργάνου. Μετά από χειρουργική αφαίρεση της 5kg μάζας, η βιοψία έδωσε την διάγνωση του νεφροβλαστώματος.
_________________________________________________________________________________________________
Κτηνίατροι οι οποίοι συμμετείχαν στην διάγνωση και αντιμετώπιση του περιστατικού:
Χανδράς Κωνσταντίνος, Κτηνίατρος
Μπούρμπος Αλέξανδρος, Κτηνίατρος
