Patient: castrated male, 10yo DSH cat
History: Anorexia and vomiting for two weeks. The blood tests were within normal limits.
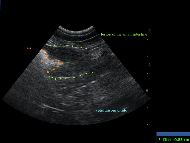
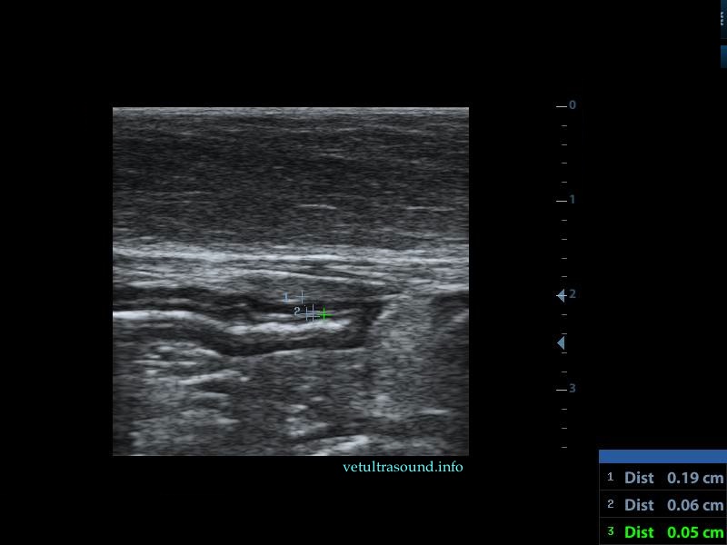
Findings: There was an increase in thickness of a segment of the small intestine, in which the normal layering was lost. This lesion extended for 3 cm(pic1). There was a restriction of the lumen, in this segment(pic2). In other parts of the ileum the muscularis propria was increased in thickness, compared to the thickness of the submucosa and the mucosa(pic3,4). The renal cortex of both kidneys was hyperechoic compared to the echogenesity of the liver and the spleen(pic5). A small amount of ascites was noted. The regional lymphnodes were enlarged and the mesenteric fat, which encircled the lesion of the small intestine, was hyperechoic.
Diagnose: These findings are compatible with alimentary tract lymphoma. There is a possibility that the kidneys are also infiltrated by lymphocytes.
The patient had a comfort treatment, because of the grave prognosis of the lymphoma.
Ασθενής: Αρσενικός γάτος 10 ετών, κοινής ευρωπαϊκής φυλής.
Ιστορικό: Ανορεξία και έμετοι εδώ και δύο εβδομάδες. Οι αιματολογικές και βιοχημικές εξετάσεις ήταν μέσα στα φυσιολογικά όρια.
Ευρήματα: Τοπική πάχυνση του λεπτού εντέρου και απώλεια της φυσιολογικής δομής του τοιχώματός του σε μήκος 3 cm(pic1). Λόγω της πάχυνσης ο αυλός του εντέρου περιοριζόταν σε μεγάλο βαθμό(pic2). Σε άλλα τμήματα του ειλεού βρέθηκε πάχυνση του τοιχώματος της μυϊκής στιβάδας σε σχέση με το πάχος του βλεννογόνου και του υποβλεννογόνιου χιτώνα(pic3,4). Το παρέγχυμα των νεφρών βρέθηκε έντονα υπερηχογενές σε σχέση με την ηχογένεια του ήπατος και του σπλήνα(pic5). Επίσης βρέθηκε μικρή ποσότητα ασκιτικού υγρού. Το μεσεντέριο λίπος που περιέβαλε την αλλοίωση του λεπτού εντέρου είχε αυξημένη ηχογένεια. Οι επιχώριοι λεμφαδένες βρέθηκαν διογκωμένοι.
Διάγνωση: Η εικόνα είναι συμβατή με πεπτικό λέμφωμα το οποίο πιθανά να διηθεί και το παρέγχυμα των νεφρών.
Ο ασθενής τέθηκε σε συντηρητική και υποστηρικτική αγωγή καθώς η πρόγνωση είναι δυσμενής
Κτηνίατροι που συμμετείχαν στην διάγνωση και θεραπεία του ασθενή.
Πασχαλινοπούλου Μαρία- Ευαγγελία, Κτηνίατρος





pic5 