Σε όλα τα παρακάτω περιστατικά έγινε λήψη ούρου για την επιβεβαίωση της βακτηριδιακής κυστίτιδας. Τις περισσότερες φορές, λόγω συχνοουρίας, η κύστη δεν ήταν επαρκώς γεμάτη και έπρεπε να περιμένουμε 15 λεπτά περίπου ώστε να γεμίσει, με ή χωρίς τη χορήγηση φουροσεμίδης.
In all the following cases, urinary samples were taken for culture, in order to confirm the diagnosis of bacterial cystitis. In most cases the urinary bladder was almost empty due to polyuria, so we had to wait for about fifteen minutes, with or without the use of furosemide.
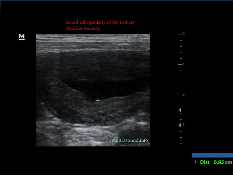
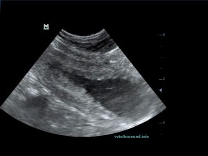
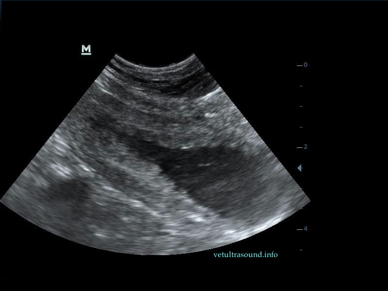
Η πάχυνση του τοιχώματος και η δοκίδωση του βλεννογόνου είναι εμφανής σε όλες τις εικόνες. Πολλές φορές οι λαγόνιοι λεμφαδένες μπορεί να είναι ήπια διογκωμένοι και να έχουν αντιδραστική ηχομορφολογία. Ο έλεγχος με έγχρωμο Doppler του τοιχώματος της άδειας κύστης μπορεί να μας δείξει ροή αίματος στα αγγεία της κύστης. Αντίθετα, είναι πιθανό, όσο η κύστη γεμίζει με ούρο η ροή αίματος να μην είναι ορατή με το Doppler. Αυτό συμβαίνει συχνά στη χρόνια βακτηριακή κυστίτιδα λόγω της ίνωσης του τοιχώματος της ουροδόχου και αυτή είναι μία από τις αιτίες της μη ανταπόκρισης στη θεραπεία. Η συγκεκριμένη παθοφυσιολογία έχει μελετηθεί στον άνθρωπο με την βοήθεια ενδοσκοπικού υπερήχου.
The increase of thickness of the urinary bladder wall and the striation of the mucosa is evident. Inguinal lymphnodes are usually prominent and mildly enlarged. Colour Doppler may reveal the blood flow of the mucosa of the empty urinary bladder, whereas the blood flow in a full bladder appears decreased. This could be because of the fibrosis of the urinary bladder wall and could explain why sometimes chronic conditions like these do not respond well to antibiotics. This pathophysiology has been studied in humans with the use of endoscopic ultrasound.
Η λήψη ούρου θα πρέπει να γίνεται με την ουροδόχο κύστη όσο το δυνατό πιο γεμάτη ώστε να μην χρειαστούν πολλές προσπάθειες και διασπείρουμε μικρόβια. Σε περίπτωση που η ουροδόχος υποχωρεί στην βελόνα μας θα πρέπει να δώσουμε μεγαλύτερη κλίση και η κατεύθυνσή της να είναι κεφαλουραία,διαφορετικά υπάρχει κίνδυνος να περάσουμε και τα δύο τοιχώματα της ουροδόχου και να τρώσουμε άλλα όργανα ή αγγεία.
In order to collect urine sample we use a 21G syringe. The fullest the bladder, the better, because many unsuccessful attempts may spread bacteria to the peritoneum. In case the urinary bladder wall collapses to the pressure of our syringe, we try on a more acute angle and craniocaudal direction. Otherwise we could penetrate both bladder walls and the syringe tip can end up in other organs or blood vessels.
Λάθος τρόπος (wrong)
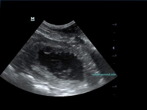
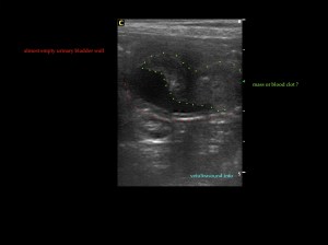
Τα πήγματα αίματος πολλές φορές μπορεί να προσομοιάζουν μάζες της ουροδόχου κύστης, ειδικά αν δεν είναι αρκετά γεμάτη ή δεν έχουν σχηματιστεί πρόσφατα. Σε αυτή την περίπτωση περιμένουμε να γεμίσει ώστε να εξετάσουμε:
– αν έχει αιμάτωση η μάζα που εντοπίσαμε
– αν προσφύεται στο βλεννογόνο
– αν μετά από αλλαγή θέσης του ασθενή μετακινείται
Blood clots can resemble masses, especially when the urinary bladder is not fully distended or the clot was not recently formed.
Tips for differentiating a blood clot from a mass (when cytology results are not well defined):
– Evaluation of blood flow in the mass with colour/power Doppler
– The mass should invade the mucosa (if we can see the mucosa enclosing the neck of the mass)
– Changing the patient’s position may reveal that this ‘’mass’’ is not attached to the bladder wall
– Revaluate the patient the next day (the clot may have gone away) or allow the patient to go for a walk and revaluate.



Τέλος, μπορούμε μετά από βόλτα του ασθενή να τον επανεξετάσουμε, γιατί στην περίπτωση που είναι πήγμα πιθανά να το απομακρύνει. Φυσικά συνεκτιμούμε όλα τα κλινικοεργαστηριακά ευρήματα του ασθενή.










