Στοιχεία ασθενή:
Σκύλος, θηλυκός στειρωμένος, 14 ετών, Griffon – Poodle mix.
Ιστορικό:
Ανορεξία, έμετοι, πολυουρία – πολυδιψία εδώ και μία εβδομάδα.
Αιματολογικές εξετάσεις:
HCT: norm.
WBC: 20×10*9/L (left shift)
PLT: 300×10*9/L
ALKP: ↑↑↑
AST: ↑↑↑
GGT:norm
UREA: ↓
CREA: norm.
Ζητήθηκε υπέρηχος κοιλίας για την εκτίμηση του ηπατικού παρεγχύματος.
Ευρήματα:
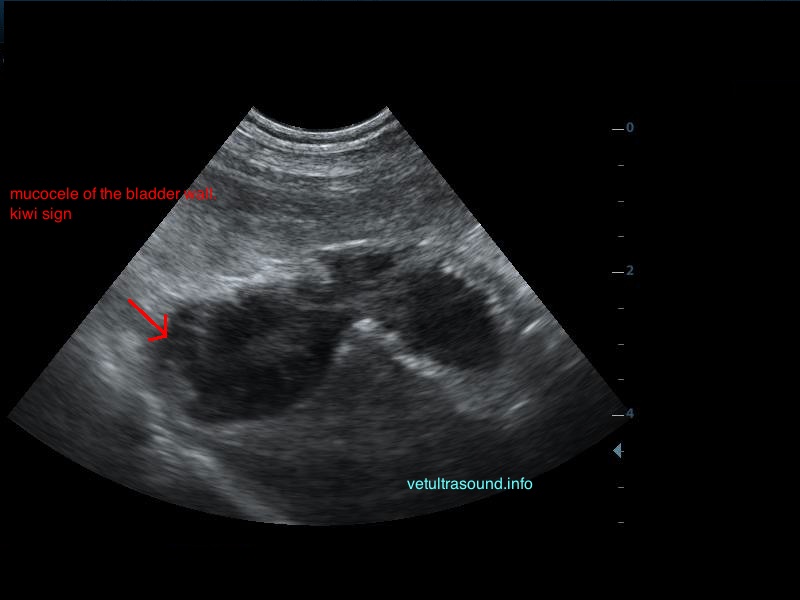
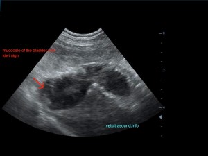
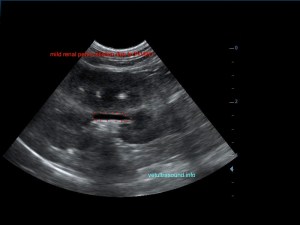
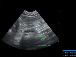
Ήπια ηπατομεγαλία με αύξηση της ηχογένειας του οργάνου, χωρίς παρουσία εστιακών αλλοιώσεων(pic.4). Πάχυνση του τοιχώματος της χοληδόχου κύστης με εικόνα βλεννοκήλης ( kiwi sign) και έντονη υπερηχογένεια στη περιοχή περί αυτού(pic.1&2). Ήπια διάταση της νεφρικής πυέλου, πιθανόν λόγω της πολυουρίας και πολυδιψίας(pic.3). Επασβέστωση στον οπίσθιο πόλο του δεξιού επινεφριδίου και αύξηση των διαστάσεών του(pic.6). Απουσία ασκιτικής συλλογής και παθολογικά διογκωμένων λεμφαδένων.
Η διάγνωση μετά τον υπέρηχο τέθηκε ως βλεννοκήλη της χοληδόχου κύστης με εικόνα χολοκυστίτιδας σε υπόβαθρο πιθανού υπερφλοιοεπινεφριδισμού. Θα πρέπει να γίνει επιβεβαίωση με αιματολογικές εξετάσεις του υπερφλοιοεπινεφριδισμού, καθώς η βλεννοκήλη της χοληδόχου κύστης είναι μία από τις επιπλοκές αυτού.






