Ασθενής: Αρσενικός Γερμανικός ποιμενικός 3 ετών
Ιστορικό: Ζητήθηκε υπέρηχος λόγω αιματουρίας η οποία έγινε αντιληπτή από τον ιδιοκτήτη. Δύο ημέρες πριν ζητηθεί ο υπέρηχος ο ιδιοκτήτης είχε παρατηρήσει επιπλέον κατάπτωση και προσπάθειες για εμέτο, τα οποία υποχώρησαν χωρίς να χορηγηθεί αγωγή. Ο ιδιοκτήτης δεν είχε δώσει ιδιαίτερη σημασία σε αυτά τα συμπτώματα, τα οποία ούτως ή άλλως αυτοπεριορίστηκαν. Την ημέρα που πραγματοποιήθηκε ο υπέρηχος η αιματουρία είχε επίσης υποχωρήσει.
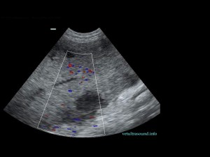
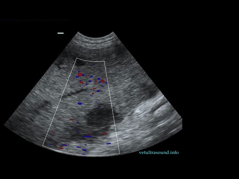
Ευρήματα: Η κεφαλή του σπλήνα βρέθηκε μετατοπισμένη ( στραμένη προς τα οπίσθια άκρα) με υποκαψικές περιοχές υποηχογένειας, χωρίς αιμάτωση (pic 1,2,3). Το τμήμα αυτό του σπλήνα ήταν διογκωμένο σε σχέση με το υπόλοιπο όργανο και το μεσεντέριο λίπος που το περιέβαλε ήταν έντονα υπερηχογενές. Στο συγκεκριμένο σημείο του σπλήνα τα μεγάλα αγγεία δεν είχαν ροή αίματος κατά τον έλεγχο με έγχρωμο Doppler (pic3). Αντίθετα το σώμα και η ουρά του οργάνου είχαν φυσιολογική αιμάτωση και μέγεθος (pic 4,5).
Διάγνωση: Η εικόνα αυτή θα μπορούσε να οφείλεται σε εμφράκτα τα οποία δημιουργήθηκαν είτε από θρόμβους ή σηπτικά έμβολα, είτε από μείωση της αιματικής ροής της περιοχής. Εξαιτίας της αλλαγής της θέσης του σπλήνα, του υπερηχογενούς μεσεντέριου λίπους που περιέβαλε την κεφαλή του οργάνου και των εμφράκτων στο παρέγχυμά του, η διάγνωση που τέθηκε είναι η μερική συστροφή του σπλήνα ή η παροδική διακοπή της αιμάτωσής του. Αυτό θα μπορούσε να έχει προέλθει από διάταση ή μερική στροφή του στομάχου, λαμβάνοντας υπόψιν το ιστορικό και τη φυλή του σκύλου. Η αιματουρία προήλθε πιθανά λόγω αιμόλυσης, εξαιτίας της συμφόρησης του σπλήνα. Έγινε σπληνεκτομή όπου και επιβεβαιώθηκε η μερική στροφή του οργάνου με αποτέλεσμα τον στραγγαλισμό μεγάλου μέρους των αγγείων του.
pic1
pic2



