Patient’s info: 12yo, Male spayed DSH cat
History: Vomiting and weight loss since 1 week.
Findings:
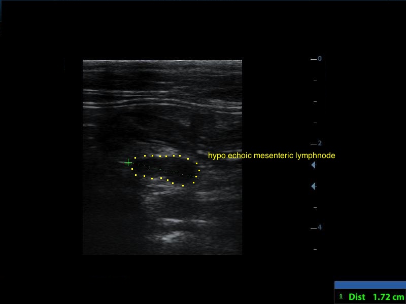
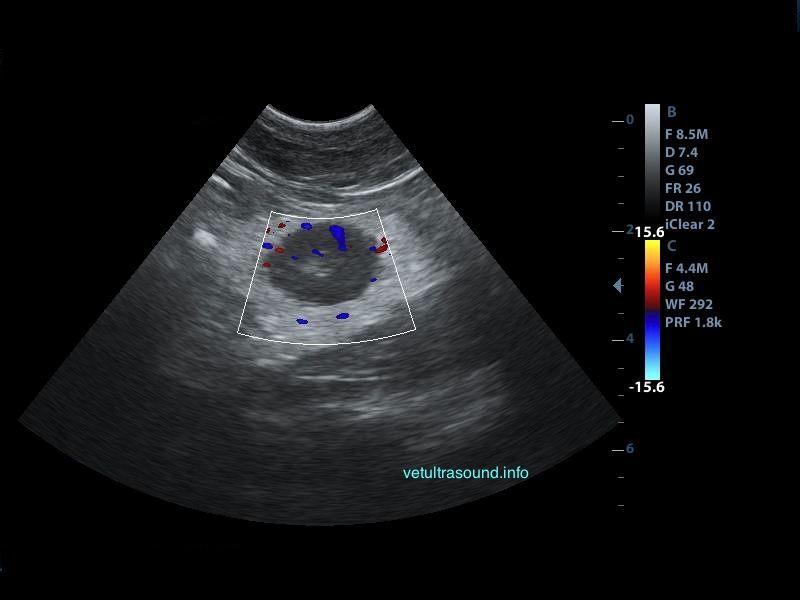
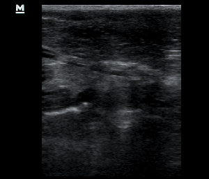
The spleen was increased in size with a diffuse parenchymal hyperechogenicity. A small section of the small intestine was enlarged with loss of its normal wall layers (pic1). The surrounding fat tissue was also hyperechoic. An enlarged regional mesenteric lymphnode was noted with diffuse hypoechogenicity. A Fine Needle Aspiration was performed in order to collect cytology speciments from the spleen and the intestinal lesions. The diagnose was alimentary tract lymphoma.
Απεικόνιση του λεπτού εντέρου σε εγκάρσια διατομή, από την φυσιολογική δομή του, μέχρι την αλλοίωση.
Image series, through the normal anatomy, to the lesion of the small intestine, in a perpendicular view.
Στοιχεία ασθενή:
Γάτος αρσενικός στειρωμένος, 12 ετών, κοινής ευρωπαικής φυλής.
Ιστορικό:
Έμετοι, απώλεια βάρους εδώ και μία εβδομάδα.
Ευρήματα:
Σπληνομεγαλία με φυσιολογική ηχογένεια του παρεγχύματος του οργάνου. Τμήμα του λεπτού εντέρου βρέθηκε ιδιαίτερα παχυμένο, με απώλεια της φυσιολογικής διαστρωμάτωσης του τοιχώματός του (pic.1). Το μεσεντέριο λίπος περιφερικά αυτού ήταν έντονα υπερηχογενές. Βρέθηκε επιχώριος μεσεντέριος λεμφαδένας, ήπια διογκωμένος με διατήρηση της φυσιολογικής δομής του και με μειωμένη ηχογένεια(pic.2). Έγινε λήψη κυτταρολογικού υλικού από τον σπλήνα και την αλλοίωση του εντέρου. Η διάγνωση τέθηκε ως πεπτικό λέμφωμα.




