Ασθενής: Ημίαιμος θηλυκός σκύλος, στειρωμένος πριν 5 χρόνια.
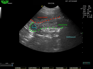
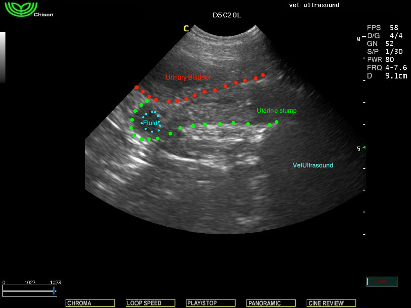
Ιστορικό: Προσκομίσθηκε σε κλινική επειδή εμφάνισε αίμα από την περιοχή του αιδοίου και διόγκωση του οργάνου. Η ιδιοκτήτρια το είχε παρατηρήσει και παλαιότερα, με συχνότητα εμφάνισης μία φορά το χρόνο περίπου. Ζητήθηκε υπερηχογράφημα κοιλίας για να ελεγχθεί η ουροδόχος αλλά και το κολόβωμα της μήτρας.
Ευρήματα: Στον υπέρηχο βρέθηκε παρουσία μικρής ποσότητας υγρού στο κολόβωμα της μήτρας και πάχυνση του τοιχώματός του. Στην δεξιά περιοχή πίσω από τον νεφρό ελέγχθηκε κυστική αλλοίωση η οποία αντιπροσώπευε την δεξιά ωοθήκη
(υπόλειμμα).
Διάγνωση: Εικόνα αρχικού σταδίου πυομήτρας του κολοβώματος.
Θεραπεία: Χειρουργική αφαίρεση του κολοβώματος και της δεξιάς υπολειμματικής ωοθήκης.
_________________________________________________________________________________________________________________



