Πώς να κάνετε εξάσκηση και να ρυθμίσετε το μηχάνημα του υπερήχου σωστά για FNA.
Θα χρειαστείτε :
1) Ένα γάντι πλαστικό μιάς χρήσεως
2) Ζελέ υπερήχου
3) Ένα μηχάνημα υπερήχου με κεφαλές microconvex ή linear
4) Ένα σταφύλι ή ελιά…
5) Βελόνες 21G ή 23G
Διαδικασία :
- Δένουμε τα δάχτυλα του γαντιού κόμπο.
- Γεμίζουμε το γάντι με ζελέ.
- Βάζουμε μέσα το σταφύλι.
- Δένουμε την άλλη άκρη του γαντιού κόμπο.
Ξεκινάμε την διαδικασία των ρυθμίσεων.
Τα σημαντικά σημεία που πρέπει να προσέξουμε είναι :
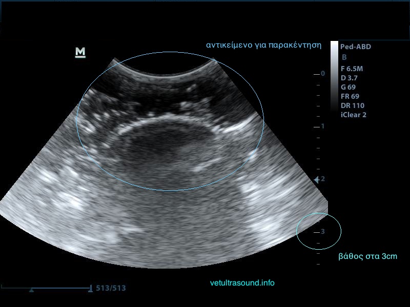
1) H θέση του marker και από που θα μπεί η βελόνα σε σχέση με το αντικείμενο που θέλουμε να παρακεντήσουμε.
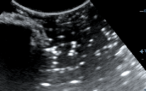
2) Το βάθος (depth), δηλαδή το να φέρουμε στην οθόνη του υπερήχου όσο το δυνατόν πιο κοντά το αντικείμενό μας, ώστε να καλύπτει σχεδόν τα 2/3 της οθόνης μας.
Μειώνουμε το βάθος ώστε να φέρουμε κοντά μας το αντικείμενο.
3) Τη συχνότητα, δηλαδή όσο πιο μεγάλη είναι αυτή, τόσο πιο πολλές λεπτομέρειες βλέπουμε αλλά ταυτόχρονα αυξάνονται τα τεχνουργήματα από αέρα και άλλες δομές. Οι αρμονικές βοηθούν στην καταστολή αυτών των τεχνουργημάτων.
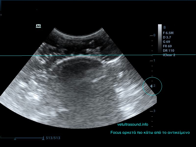
4) Το focus, δηλαδή την εστίαση της δέσμης, όσο πιο κοντά βρίσκεται σε αυτό που θέλουμε να μελετήσουμε τόσο καλύτερη εικόνα έχουμε.
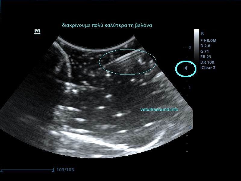
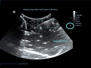
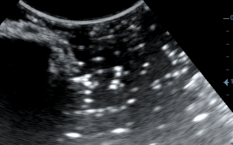
Σημαντικό ρόλο επίσης παίζει η κλίση της βελόνας σε σχέση με τον ηχοβολέα ( κεφαλή ), όσο πιο κάθετη είναι η βελόνα με τον ηχοβολέα τόσο καλύτερη εικόνα της βελόνας έχουμε, όσο αυξάνεται η κλίση τόσο μειώνεται η διακριτική μας ικανότητα.
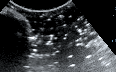
Λόγω της κλίσης βλέπουμε μόνο την μύτη της βελόνας.
Η βελόνα εμφανίζεται κάθετα προς τον ηχοβολέα.
Έχοντας λάβει υπόψιν όλα τα παραπάνω μπορούμε να δοκιμάσουμε να τσιμπήσουμε το σταφύλι. Έχοντας στο χέρι μας μόνο τη βελόνα και όχι όλη τη σύριγγα είναι πιο εύκολο να χειριστούμε την βελόνα. Στην πραγματικότητα μπορούμε να συνδέσουμε στην άκρη της βελόνας ένα 3way extension ώστε ένας βοηθός από την άλλη πλευρά να χειρίζεται την σύριγγα για αναρρόφηση και έξοδο του δείγματος από την βελόνα.
Σε περίπτωση που κατά την διάρκεια του FNA χάσουμε την βελόνα από την οθόνη μας μπορούμε να κουνήσουμε ελαφρά την κεφαλή έχοντας σταθερή τη βελόνα ή αντίστροφα.
Σταθερή η βελόνα και κινούμε τον ηχοβολεά.
Σταθερός ο ηχοβολέας και κινούμε την βελόνα.
Καλή επιτυχία!!!


















