Ασθενής: Σκύλος, αρσενικός, φυλής Πόιντερ 3 ετών.
Ιστορικό: Προσκομίσθηκε σε κλινική λόγω μείωσης της όρεξής του για φαγητό, κατάπτωση και εύκολη κόπωση. Στην κλινική εξέταση βρέθηκε αύξηση της θερμοκρασίας και ήπια δυσφορία κατά την ψηλάφηση της κοιλίας. Στη γενική αίματος βρέθηκε αύξηση των λευκών αιμοσφαιρίων. Οι υπόλοιπες εξετάσεις ήταν φυσιολογικές. Έγινε ακτινογραφία κοιλίας όπου και ανιχνεύθηκε αύξηση της ακτινοσκιερότητας στο πρόσθιο τμήμα πίσω από το στομάχι. Συστήθηκε υπέρηχος λόγω του ότι υπήρχε υποψία για παγκρεατίτιδα – περιτονίτιδα.
Ευρήματα: Στον υπέρηχο κοιλίας δεν υπήρχαν ευρήματα για αυτό τον λόγο συνεχίστηκε η εξέταση και στη θωρακική κοιλότητα ώστε να βρεθεί η αιτία των αυξημένων λευκών αιμοσφαιρίων ( στοιχείο που συνήθως δείχνει πως υπάρχει κάποια συλλογή, εφόσον έχουν αποκλειστεί άλλα αίτια). Η καρδιά ελέγχθηκε φυσιολογική σε ηχοδομή και λειτουργικότητα. Στη διάρκεια της εξέτασης της καρδιάς η περιοχή γύρω από αυτήν και μεταξύ των λοβών του πνεύμονα ήταν αρκετά υπερηχογενής. Στα πρόσθια πνευμονικά πεδία ανιχνεύθηκε μικρή συλλογή υγρού η οποία και παρακεντήθηκε. Στη συνέχεια έγινε ακτινογραφία θώρακος για να εκτιμηθεί η κατάσταση του πνευμονικού παρεγχύματος και της θωρακικής κοιλότητας. Στην ακτινογραφία βρέθηκε πως οι κορυφές των οπίσθιων λοβών του πνεύμονα δεν ήταν οξύληκτοι στοιχείο που μας δείχνει πως πιθανότατα έχει αναπτυχθεί ινώδης ιστός μεταξύ των λοβών και του υπεζωκότα. Εικόνα χρόνιας φλεγμονής. Έγινε λήψη του υγρού όπου δεν βρέθηκαν μικροοργανισμοί αλλά αφθονία ουδετερόφιλων και μακροφάγων κυττάρων. Λαμβάνοντας όλα τα ευρήματα υπ’ όψιν καταλήγουμε στο συμπέρασμα πως πρόκειται για μια χρόνια άσηπτη φλεγμονή του υπεζωκότα η οποία είναι παραγωγική. Σε περίπτωση που υπάρξει ξανά συλλογή μπορεί να γίνει πλευροδεσία με ενδοθωρακική χορήγηση ιωδιούχου τάλκ. Η τεχνική αυτή εφαρμόζεται σε χρόνιες πλευρίτιδες κυρίως από νεοπλασματικά αίτια.
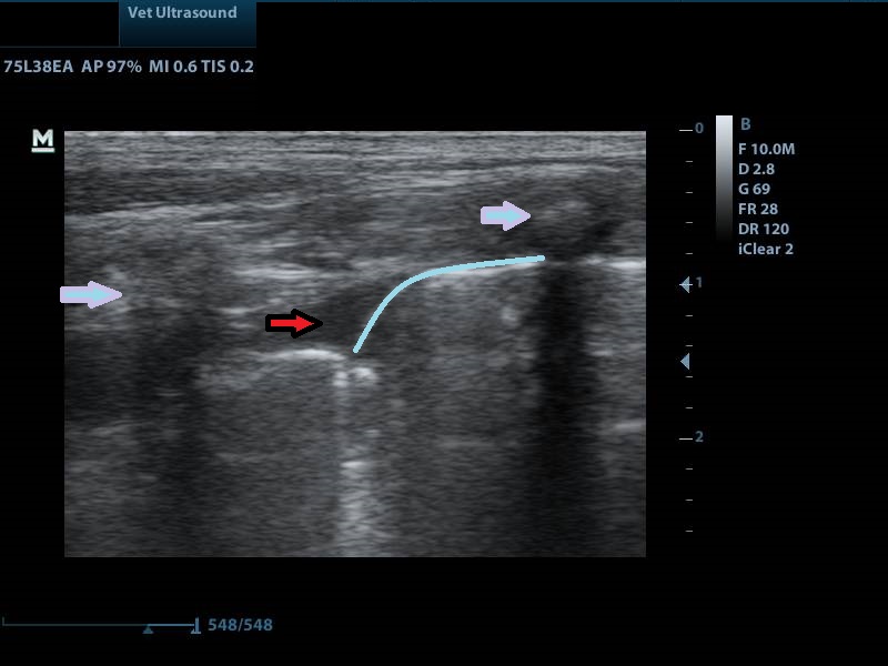
τα βέλη δείχνουν την πορεία των λοβών του πνεύμονα.
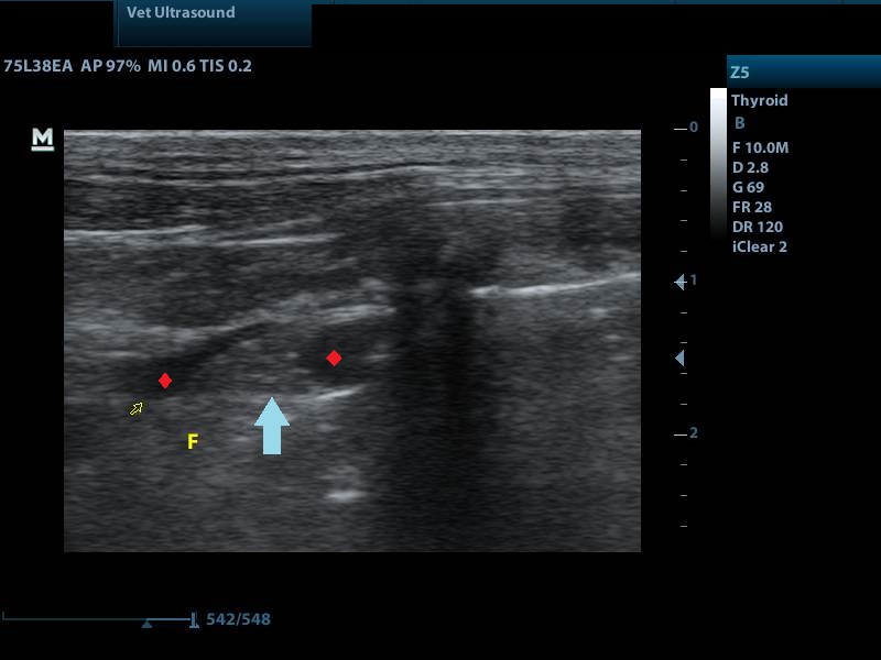
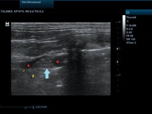
μπλε βέλος: λοβός του πνεύμονα
αστερίσκοι: υγρό ( μαύρο)
μπλε βέλος: ακουστική σκιά από τις πλευρές
κόκκινο βέλος: υγρό
μπλε γραμμή: αφορίζει το πνεύμονα προς τα κάτω



