Ασθενής: Ημίαιμος, θηλυκός σκύλος, 7 ετών
Ιστορικό: Προσκομίστηκε σε κλινική λόγω κατάπτωσης, ανορεξίας και δυσουρίας. Στις αιματολογικές εξετάσεις βρέθηκε αύξηση των λευκών αιμοσφαιρίων, κυρίως των ουδετερόφιλων, μικρή αύξηση της αλκαλικής φωσφατάσης και της ουρίας. Ζητήθηκε υπέρηχος κοιλίας για αποκλειστεί το ενδεχόμενο για πυομήτρα ή για οποιαδήποτε φλεγμονώδη κατάσταση στη κοιλιακή κοιλότητα.
Ευρήματα: Στον υπέρηχο κοιλίας βρέθηκε νεοπλασία στο τρίγωνο της ουροδόχου κύστης το οποίο φαινόταν να διηθεί τους γύρω ιστούς. Το νεόπλασμα εμπόδιζε την έξοδο των ούρων μέσω του αριστερού ουρητήρα όπου είχε προκαλέσει υδρονέφρωση του σύστοιχου νεφρού. Ο δεξιός ουρητήρας και η νεφρική πύελος ήταν διατεταμένοι 7 mm (φυσιολογικό μέγεθος < 3 mm), χωρίς όμως να έχει επηρεαστεί η δομή του δεξιού νεφρού.
Θεραπεία: Ο ιδιοκτήτης επέλεξε ευθανασία, η πρόγνωση των νεοπλασμάτων του τριγώνου της ουροδόχου κύστης δεν έχουν καλή πρόγνωση, συντηρητικά θα μπορούσε να γίνει νεφροστομία διαδερμικά με την τοποθέτηση pig tail καθετήρων όπου θα παρακάμψουν την πορεία των ούρων από την νεφρική πύελο στο εξωτερικό περιβάλλον μέχρι να σταθεροποιηθεί ο ασθενής ή και μόνιμα με αλλαγές των καθετήρων αυτών ανά μήνα.
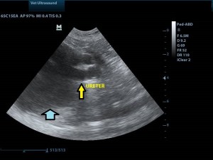
κίτρινο βέλος: έντονη διάταση του ουρητήρα
μπλε βέλος: υδρονέφρωση του αριστερού νεφρού
κίτρινο βέλος: διάταση του αριστερού ουρητήρα
κόκκινο βέλος: κοιλιακή αορτή
μπλε βέλος: οπίσθια κοίλη φλέβα
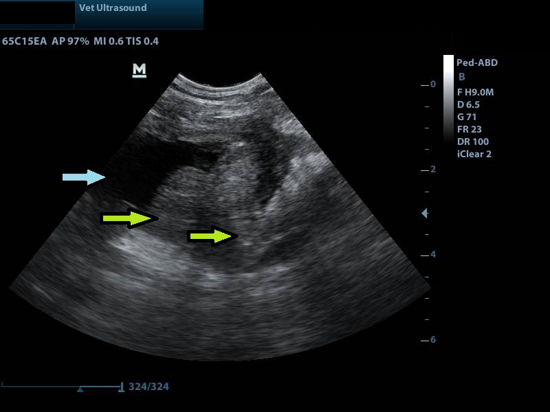
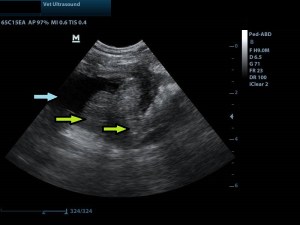
αριστερά της εικόνας ο προσανατολισμός του κέρσορα είναι κεφαλικά (ο θόλος της ουροδόχου κύστης και ουραία το νεόπλασμα)
μπλε βέλος: κοιλότητα της ουροδόχου κύστης γεμάτη με ούρα (μαύρο)
κίτρινο βέλος: η μάζα η οποία διηθεί και το τοίχωμα της ουροδόχου κύστης



