Ασθενής: Σκύλος, θηλυκός μη στειρωμένος
Ηλικία: 3 ετών Φυλή: Maltese
Προσκομίσθηκε σε κλινική με λίθαργο και εμέτους τις τελευταίες δύο ημέρες. Εργαστηριακά βρέθηκε αύξηση του αιματοκρίτη, της ουρίας και της κρεατινίνης. Ζητήθηκε υπέρηχος κοιλίας.
Ευρήματα: Ατονία του πεπτικού σωλήνα λόγω έμφραξής του από γραμμοειδές ξένο σώμα.
Διάγνωση: Έμφραξη από γραμμοειδές ξένο σώμα, το οποίο ήταν σχοινί από ρολό κοτόπουλο.
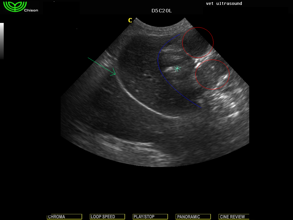
πράσινο βέλος διάφραγμα, η μπλέ γραμμή αφορίζει το ήπαρ, ο αστερίσκος δείχνει το στομάχι, οι κύκλοι περιβάλουν το διατεταμένο λεπτό έντερο.
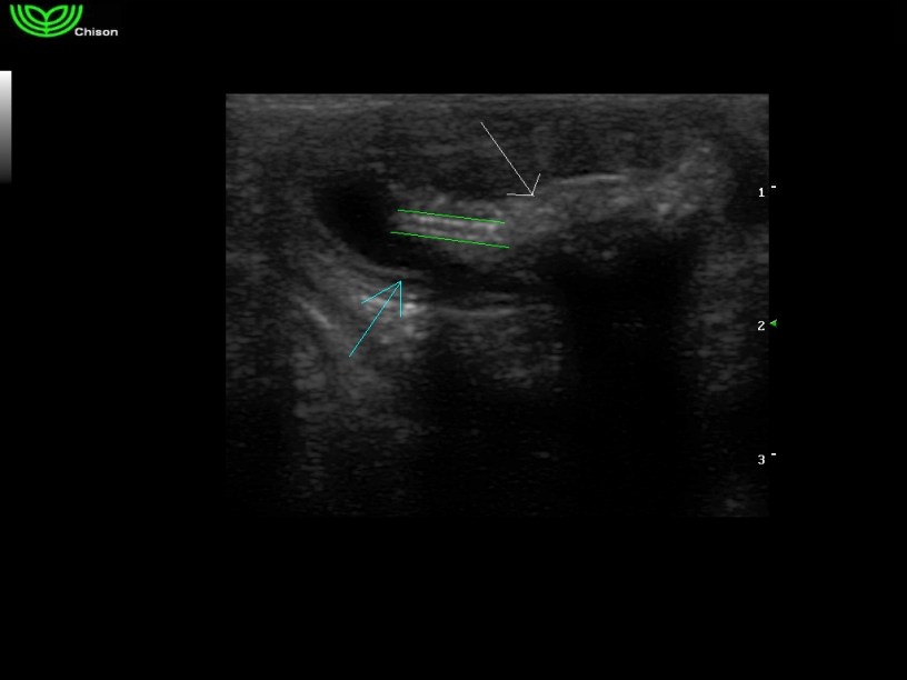
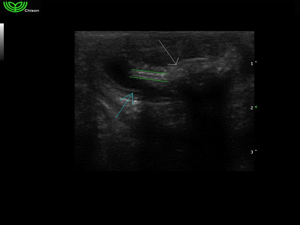
μπλέ βέλος τοίχωμα λεπτού εντέρου, ανάμεσα στις πράσινες γραμμές βρίσκεται το σχοινί ( δύο παράλληλες άσπρες γραμμές), άσπρο βέλος εντερικό περιεχόμενο.


