Ασθενής : Σκύλος αρσενικός, 8 ετών, φυλής Μπόξερ
Προσκομίστηκε λόγω κατάπτωσης και ανορεξίας εδώ και μία
εβδομάδα. Οι βιοχημικές και αιματολογικές εξετάσεις ήταν
φυσιολογικές. Ο σκύλος ήταν κρυψόρχης και εμφάνιζε απώλεια
τριχώματος στους κενεώνες,. Επίσης βρέθηκε φύσημα δευτέρου
βαθμού που εντοπιζόταν στη κορυφή της καρδιάς.
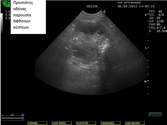
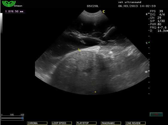
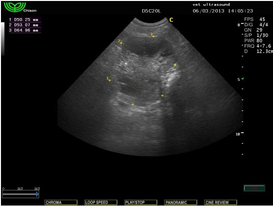
Στον υπέρηχο βρέθηκε ενδοκοιλιακή μάζα η οποία καταλάμβανε
όλη την κοιλιακή κοιλότητα και απωθούσε το λεπτό έντερο
ραχιαία. Ο προστάτης ήταν διογκωμένος με παρουσία μεγάλων
κύστεων στο παρέγχυμά του. Τα υποσφυικά λεμφογάγγλια ήταν
ήπια διογκωμένα.
Η μάζα αυτή ήταν ο όρχης ο οποίος είχε παραμείνει στη
κοιλιακή κοιλότητα και είχε εμφανίσει κακοήθη εξαλλαγή.





