Ασθενής: Σκύλος αρσενικός, φυλή Ελληνικός ποιμενικός, 1 έτους
Προσκομίστηκε με έντονο πόνο στην κοιλιακή κοιλότητα και αυξημένα λευκά αιμοσφαίρια. Τις προηγούμενες ημέρες είχε ιστορικό από έντονες διάρροιες και οι ιδιοκτήτες φοβόντουσαν για το ενδεχόμενο ξένου σώματος.
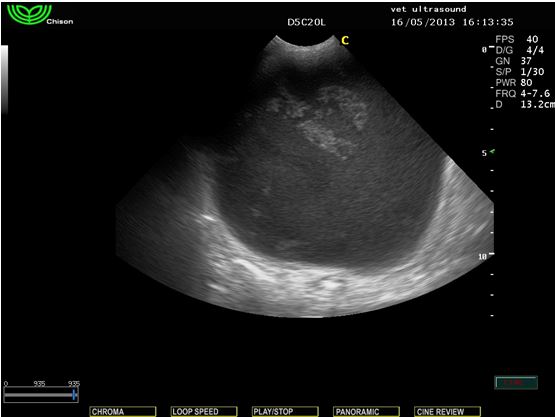
Ευρήματα: Στον υπέρηχο εντοπίστηκε μικρή παρουσία ασκητικού υγρού και μία μάζα στρογγυλή σαφώς περιγεγραμμένη χωρίς να δείχνει να έχει πρόσφυση σε κάποιο όργανο. Το τοίχωμά της φαινόταν αρκετά παχύ και στο εσωτερικό υπήρχε παρουσία παχύρρευστου υγρού. Στη διαφορική διάγνωση υπήρχε η υποψία για κάποιο απόστημα της περιτοναικής κοιλότητας, κύστη του μεσεντερίου και η δίλοβος εντερική κύστη (intestinal duplicated cyst). Μετά από χειρουργική εξαίρεση βρέθηκε πως η κύστη αυτή ήταν κολλημένη πάνω στο παχύ έντερο από την μία πλευρά και από το μεσεντέριο από την άλλη. Το περιεχόμενο ήταν μία άμορφη ουσία παχύρρευστη. Το τοίχωμα της κύστης έμοιαζε με το τοίχωμα του εντέρου. Η διάγνωση τέθηκε τελικά ως δίλοβος εντερική κύστη.




