Ασθενής : Σκύλος αρσενικός, 12 ετών, φυλής Γκριφόν – Κανίς
Προσκομίστηκε λόγω κατάπτωσης, ανορεξίας και απροθυμίας
μετακίνησης. Στην γενική αίματος βρέθηκε μείωση του
αιματοκρίτη, ήπια αύξηση των λευκών αιμασφαιρίων και παρουσία
σχιστοκυττάρων στο επίχρισμα αίματος.
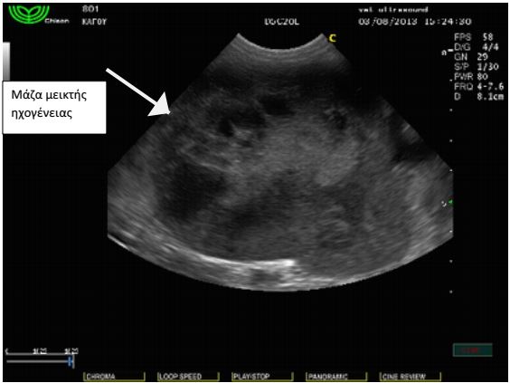
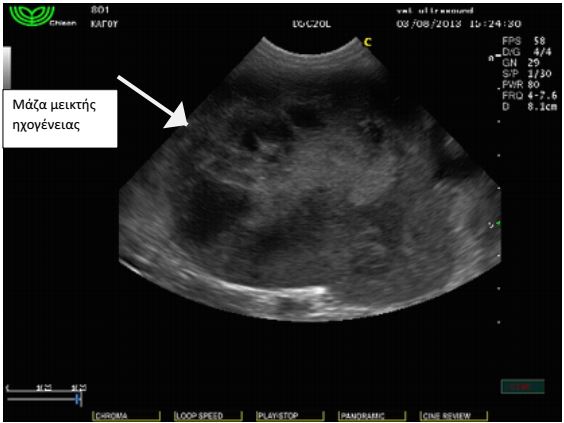
Στον υπέρηχο κοιλίας βρέθηκε μάζα σπηλαιώδης, η οποία
ξεκινούσε από τον σπλήνα και καταλάμβανε μέρος της πρόσθιας
κοιλίας καθώς και παρουσία ασκητικού υγρού. Το ήπαρ φαινόταν
φυσιολογικό χωρίς απώλεια της δομής και του σχήματός του.
Μετά από ευθανασία και νεκροτομική εξέταση του ζώου,
διαπιστώθηκε πως επρόκειτο για αιμαγγειοσάρκωμα του σπλήνα,
διάγνωση η οποία συμβάδιζε με την κλινική, εργαστηριακή και
απεικονιστική εξέταση που προηγήθηκαν.



