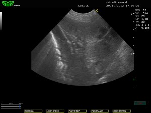
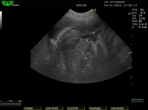
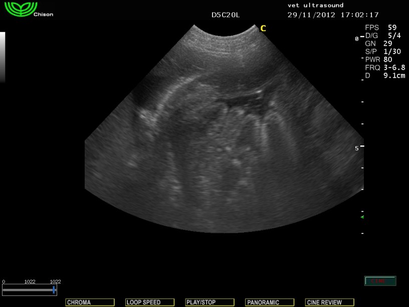
Στην υπερηχοτομογραφική εξέταση της κοιλίας βρέθηκε αύξηση της ηχογένειας της φλοιώδους μοίρας των νεφρών.
(ίδια ηχογένεια με το παρέγχυμα του σπλήνα)
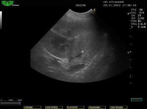
Μικρή παρουσία ασκιτικού υγρού
(πιθανόν λόγω της απώλειας πρωτεινών)
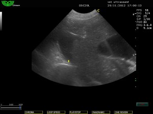
Στοιχεία ουραιμικής γαστρίτιδας
( λόγω αύξησης της ουρίας στον ορό του αίματος)





