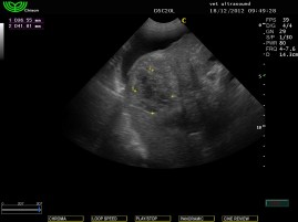
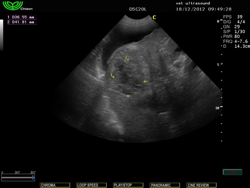
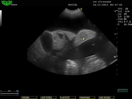
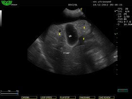
Υποηχογενείς αλλοιώσεις στους αριστερούς και διαφραγματικούς λοβούς του ήπατος και άφθονη παρουσία υγρού στη περιτοναική κοιλότητα.
Μετά από κυτταρολογική εξέταση του ασκιτικού υγρού βρέθηκαν κύτταρα συμβατά με την εικόνα του ηπατοκυτταρικού καρκινώματος.
Σύμφωνα με τον πίνακα από το site www.DVM360.com η κλινική και η βιοχημική εικόνα του ασθενή συμβαδίζει με τα πιο συχνά ευρήματα του ηπατοκυτταρικού καρκινώματος.





