Ασθενής: Σκύλος Αρσενικός, 12 ετών φυλής Γκόλντεν Ριτρίβερ
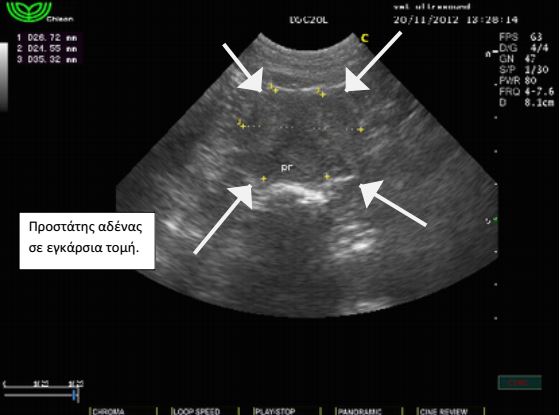
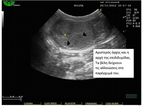
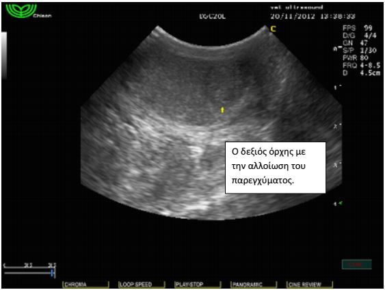
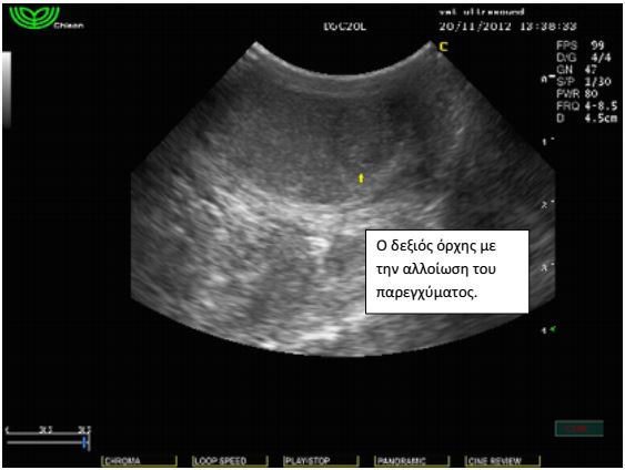
Σε γενική εξέταση αίματος κατά τον ετήσιο προληπτικό έλεγχο βρέθηκε ήπια μείωση του αιματοκρίτη και μέτρια αύξηση των λευκών αιμοσφαιρίων.Έγινε υπέρηχος κοιλίας όπου και διαπιστώθηκε ήπια διόγκωση του προστάτη αδένα. Τα υποσφυικά λεμφογάγγλια δεν βρέθηκαν διογκωμένα. Τα υπόλοιπα όργανα ήταν εντός των φυσιολογικών ορίων και χωρίς απώλεια της φυσιολογικής δομής τους. Στο παρέγχυμα των όρχεων εντοπίστηκαν αλλοιώσεις σαφώς περιγεγραμμένες με υποηχογενή άλω. Το FNB( fineneedlebiopsy) των αλλοιώσεων αποκάλυψε πως πρόκειται για μια νεοπλασματική εξεργασία των όρχεων, το σερτολίωμα. Οι αλλοιώσεις αυτές παράγουν οιστρογόνα και για το λόγο αυτό, μακροπρόθεσμα, μπορούν να προκαλέσουν απλασία του μυελού των οστών και μείωση του αιματοκρίτη. Το περιστατικό αντιμετωπίστηκε με ορχεκτομή. Μετά από λίγους μήνες οι αλλοιώσεις του προστάτη υποχώρησαν και η τιμή του αιματοκρίτη αποκαταστάθηκε στα φυσιολογικά επίπεδα



