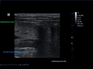
Το fat sparing είναι μία έκφραση που χρησιμοποιείται κατά την υπερηχοτομογραφική εξέταση, σε περιπτώσεις λιποείδωσης του ήπατος για να περιγράψει περιοχές του ηπατικού παρεγχύματος στο οποίο δεν έχει γίνει εναπόθεση λίπους. Πολλές φορές μπορεί η λιποείδωση να είναι σε τέτοιο βαθμό ώστε όλο το ήπαρ να είναι ομοιόμορφα υπερηχογενές και να εντοπίζονται εστιακές ή πολυεστιακές περιοχές υποηχογένειας και η διαφοροποίηση του ποιά από τις δύο απεικονίσεις είναι φυσιολογική να είναι δύσκολη. Αυτή η εικόνα μπορεί να επηρεάσει και την εκλογή του σημείου που θα πρέπει να γίνει βιοψία ή FNA.
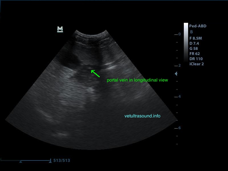
Το ήπαρ εμφανίζεται υπερηχογενές και ο ήχος εξαντλείται καθώς περνάει μέσα από αυτό. Δεν είναι εύκολη η διαφοροποίηση του τοιχώματος της πυλαίας φλέβας σε σχέση με το υπόλοιπο παρέγχυμα.
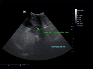
Αντίθετα στο τμήμα που δεν έχει γίνει εναπόθεση λίπους είναι εύκολη η απεικόνιση του τοιχώματος της πυλαίας φλέβας.
Δεν προκαλεί συμπίεση των γύρω ιστών ή αγγείων (mass effect) το υγιές τμήμα του ηπατικού παρεγχύματος.
Παραθέτω αυτό το link: http://radiopaedia.org/articles/focal-fatty-sparing-of-the-liver για περισσότερες πληροφορίες και εικόνες.


