Ασθενής : Αρσενικό Μαλινουά 7 μηνών
Ιστορικό: Προσκομίστηκε σε κλινική λόγω κατάπτωσης, ανορεξίας, έντονου πόνου στην κοιλιακή χώρα, εμέτων και διαρροιών. Έγιναν αιματολογικές εξετάσεις όπου και βρέθηκε λευκοκυττάρωση με αύξηση των ουδετερόφιλων και των λεμφοκυττάρων, αύξηση της ουρίας και της κρεατινίνης. Ζητήθηκε υπέρηχος για διερεύνηση του έντονου πόνου στη κοιλιακή κοιλότητα.
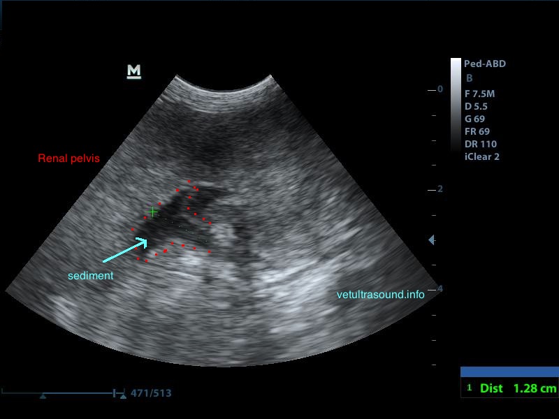
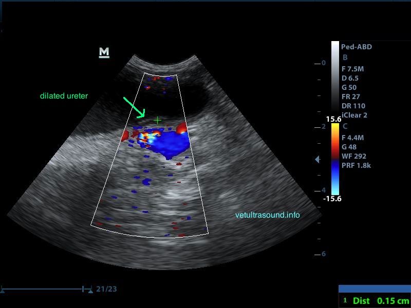
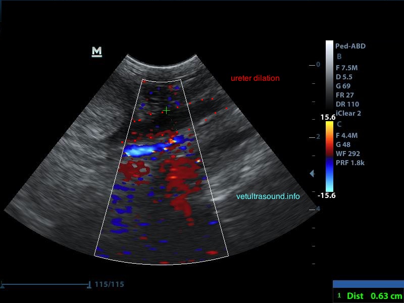
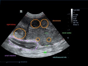
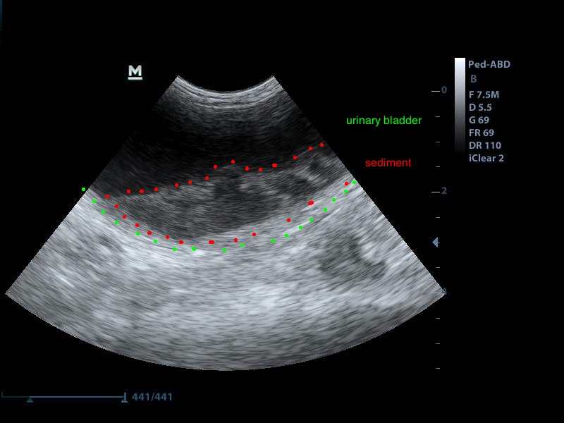
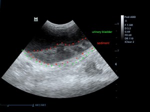
Ευρήματα: Στον υπέρηχο κοιλίας βρέθηκε επώδυνη διόγκωση και των δύο νεφρών με πάχυνση της φλοιώδους ουσίας, η οποία παρουσίαζε έντονη ανομοιογένεια. Οι νεφρικές πύελοι ήταν ήπια διατεταμένοι και στο εσωτερικό τους παρατηρήθηκε αφθονία ιζήματος. Οι ουρητήρες, οι οποίοι ήταν επίσης διατεταμένοι, απεικονίζονταν μέχρι την είσοδό τους στην ουροδόχο κύστη. Αφθονία ιζήματος βρέθηκε στην ουροδόχο κύστη. Η εικόνα αυτή είναι συμβατή με διάμεση νεφρίτιδα και στην συγκεκριμένη περίπτωση με πυοκοκκιωματώδη φλεγμονή των νεφρών, συνεκτιμώντας τα εργαστηριακά ευρήματα, τον έντονο πόνο και τη διάταση των ουρητήρων. Το resistive index ( δείκτης αγγειακής αντίστασης) βρέθηκε αυξημένο (0.77) σε μεσολόβιο αρτηρίδιο του νεφρού. Φυσιολογικά θα έπρεπε να είναι (0.6±0.06). Αυτό δείχνει πως το οίδημα του νεφρικού παρεγχύματος εξαιτίας φλεγμονής ή οποιαδήποτε άλλης διήθησης, νεοπλασματικής ή μη, πιέζει τα αγγεία και αυξάνει την αντίσταση του αίματος προς το νεφρό. Ένα επιπλέον διαγνωστικό βήμα για την διερεύνηση της αιτίας, για την αποτελεσματικότερη θεραπεία και την εγκυρότερη πρόγνωση, είναι η λήψη κυτταρολογικού υλικού από το νεφρικό παρέγχυμα και ούρου από τη νεφρική πύελο για καλλιέργεια, στα οποία ο ιδιοκτήτης δεν θέλησε να προχωρήσει.
Επισυνάπτω την διεύθυνση ενός site όπου αναφέρονται τα αίτια που θα μπορούσαν να προκαλέσουν διάμεση νεφρίτιδα.
http://www.vet.uga.edu/ivcvm/courses/vpat5215/urinary/nephritis/NEPH_3.htm







