Ασθενής : Σκύλος φυλής Yorkshire terrier, αρσενικός ακέραιος και ηλικίας 10 ετών.
Προσκομίστηκε λόγω στραγγουρίας εδώ και μία εβδομάδα. Έγινε υπέρηχος κοιλίας όπου και εντοπίστηκε διάταση της ενδοπροτατικής μοίρας της ουρήθρας και δύο λίθοι, ο ένας βρισκόταν στην ουροδόχο κύστη (ενδοπροστατική μοίρα της ουρήθρας) και ο άλλος ακριβώς πίσω από το πεϊκό οστό, σύνηθες μέρος εντόπισης λίθων λόγω του οτι μειώνεται το εύρος της ουρήθρας μέσα σε αυτό. Ο ασθενής χειρουργήθηκε ώστε να ανακουφιστεί από τα συμπτώματά του. Δεν υπήρχε διάταση της νεφρικής πυέλου, ούτε διαταραχή της νεφρικής λειτουργίας, λόγω του οτι ο λίθος δεν προκαλούσε πλήρη απόφραξη της ουροφόρου οδού.
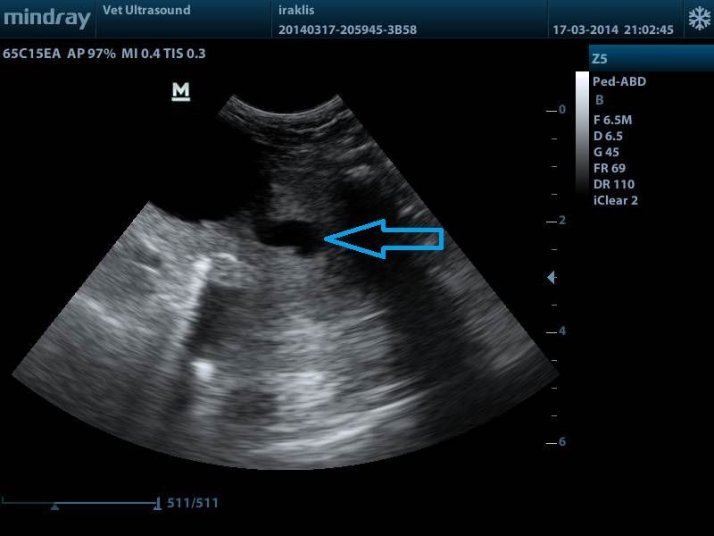
ΤΟ ΜΠΛΕ ΒΕΛΟΣ ΔΕΙΧΝΕΙ ΤΗΝ ΔΙΑΤΑΣΗ ΤΟΥ ΕΝΔΟΠΡΟΣΤΑΤΙΚΟΥ ΤΜΗΜΑΤΟΣ ΤΗΣ ΟΥΡΗΘΡΑΣ.
ΤΟ ΒΕΛΟΣ ΔΕΙΧΝΕΙ ΤΟΝ ΛΙΘΟ Ο ΟΠΟΙΟΣ ΒΡΙΣΚΕΤΑΙ ΣΤΗΝ ΟΥΡΟΔΟΧΟ ΚΥΣΤΗ ΚΑΙ ΛΟΓΩ ΤΗΣ ΣΤΑΣΗΣ ΤΟΥ ΑΣΘΕΝΗ ( ΟΡΘΙΑ ΘΕΣΗ) ΕΧΕΙ ΠΕΣΕΙ ΣΤΗΝ ΕΝΔΟΠΡΟΣΤΑΤΙΚΗ ΜΟΙΡΑ ΤΗΣ ΟΥΡΗΘΡΑΣ. ΧΑΡΑΚΤΗΡΙΣΤΙΚΗ ΕΙΝΑΙ Η ΣΚΙΑ Η ΟΠΟΙΑ ΦΑΙΝΕΤΑΙ ΚΑΤΩ ΑΠΟ ΤΟΝ ΛΙΘΟ ΛΟΓΩΣ ΤΗΣ ΕΝΤΟΝΗΣ ΑΠΟΡΡΟΦΗΣΗΣ ΤΟΥ ΗΧΟΥ. ΤΑ ΑΣΤΕΡΙΑ ΑΦΟΡΙΖΟΥΝ ΤΟΝ ΕΝΑΝ ΛΟΒΟ ΤΟΥ ΠΡΟΣΤΑΤΗ ΣΕ ΕΠΙΜΗΚΗ ΤΟΜΗ, Ο ΟΠΟΙΟΣ ΕΧΕΙ ΜΙΚΡΕΣ ΚΥΣΤΕΙΣ ΣΤΟ ΠΑΡΕΓΧΥΜΑ ΤΟΥ.
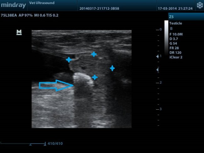
ΤΟ ΚΟΚΚΙΝΟ ΒΕΛΟΣ ΔΕΙΧΝΕΙ ΤΗΝ ΣΚΙΑ ΠΟΥ ΔΗΜΙΟΥΡΓΕΙ ΤΟ ΠΕΪΚΟ ΟΣΤΟ, ΕΝΩ ΤΟ ΜΠΛΕ ΤΟΝ ΛΙΘΟ Ο ΟΠΟΙΟΣ ΕΧΕΙ ΕΝΣΦΗΝΩΘΕΙ ΣΤΗΝ ΟΥΡΗΘΡΑ ΑΚΡΙΒΩΣ ΠΙΣΩ ΑΠΟ ΤΟ ΠΕΪΚΟ ΟΣΤΟ.



