Ασθενής: Σκύλος φυλής Μπόξερ, θηλυκό μη στειρωμένο, ηλικίας 10 ετών.
Ιστορικό : προληπτικός έλεγχος λόγω αυξημένης αλκαλικής φωσφατάσης στον ορό του αίματος.
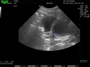
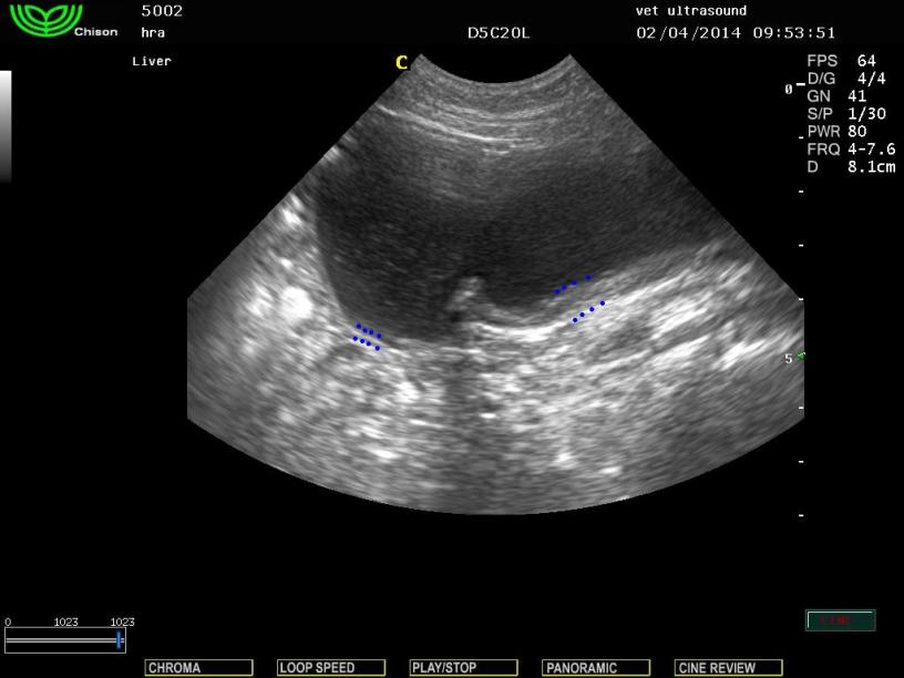
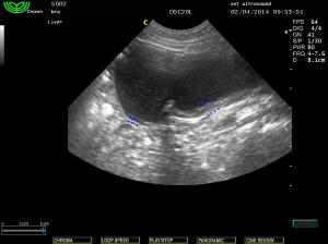
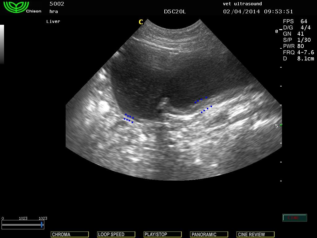
Στον υπερηχοτομογραφικό έλεγχο βρέθηκε εκκόλπωμα της ουροδόχου κύστης. Απώλεια του φυσιολογικού πάχους του τοιχώματος στο τμήμα του θόλου της ουροδόχου κύστης. Έγινε κυστεοκέντηση όπου και βρέθηκε αφθονία μικροβίων και φλεγμονικών κυττάρων. Μετά από ούρηση του ασθενή βρέθηκε πως το τμήμα που διέθεται φυσιολογικό πάχος, είχε αδειάσει ενώ το εκκόλπωμα είχε παραμείνει ίδιο σε μέγεθος. Κλινικά ο ασθενής δεν εκδήλωνε σημάδια ουρολοίμωξης. Λόγω του οτι δεν υπήρχαν συμπτώματα ο ιδιοκτήτης δεν θέλησε να προχωρήσει σε επιδιόρθωση του προβλήματος.
Συνήθως τα εκκολπώματα προέρχονται είτε από παρατεταμένει έμφραξη της ουρήθρας είτε είναι συγγενή. Στην παρούσα περίπτωση δεν υπήρχε περιστατικό παλαιώτερης έμφραξης.
Παραθέτω πιο κάτω ένα σχεδιάγραμμα το οποίο δανείστηκα από το διαδίκτυο ώστε να γίνει πιο αντιληπτή η εκκολπωμάτωση της ουροδόχου κύστης.
Σε ορισμένες προβολές φαίνεται σαν να είναι δύο ξεχωριστοί χώροι.
Οι διακεκομμένες γραμμές δείχνουν τη διαφορά στο πάχος στα δύο σημεία της ουροδόχου κύστης.



