Patient: 9 yo Female mix breed dog
History: Anorexia, polyuria and polydipsia, round shaped belly and alopecia.
Findings:
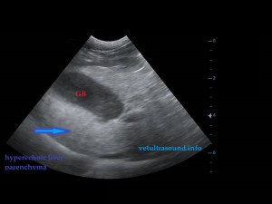
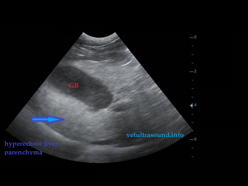
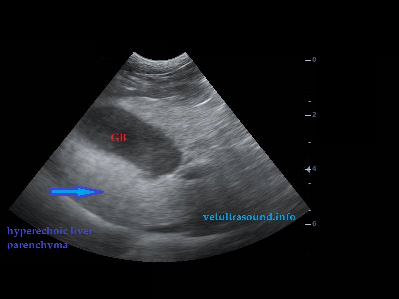
Increased echogenisity of the liver. There was no clear distinction between liver’s parenchyma and the portal’s vein wall.(pic1)
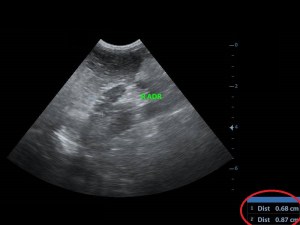
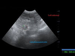
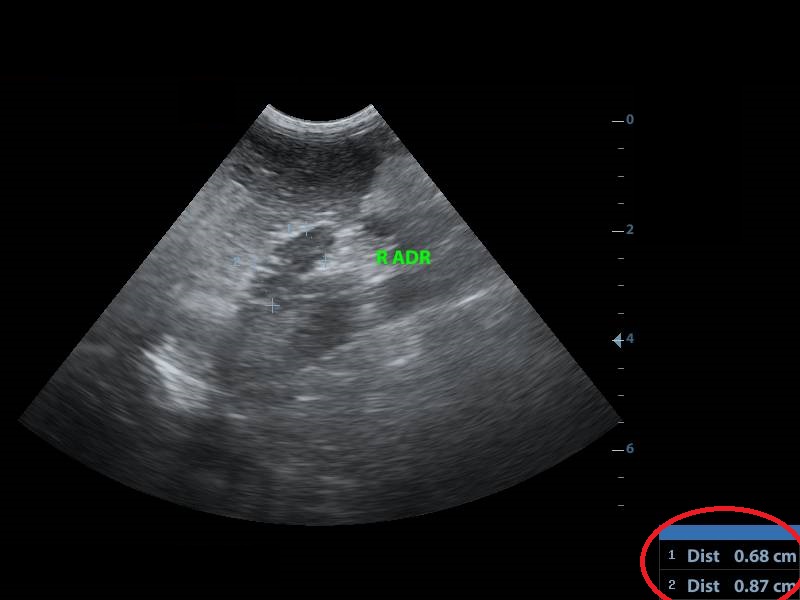
There was a mild Increase in the diameter of the caudal pole of both adrenal glands.(pic2-3)
There were polyps in the urinary bladder wall and signs of cystitis.(pic4)
Diagnosis: The ultrasound exam was followed by blood tests which revealed a marked increase of the blood’s glucose and the liver enzymes. After one week of not being able to manage the high level of blood glucose, the veterinarians proceeded to low dose dexamethasone test in order to exclude Cushing’s disease, which turned out positive. As a result the treatment plan changed and the final diagnose was set as central Cushing’s disease.
Ασθενής: 9 ετών θηλυκός ακέραιος, ημίαιμος σκύλος
Ιστορικό: Ανορεξία, πολυουρία, πολυδιψία, απιοειδής κοιλιά και απώλεια τριχώματος.
Ευρήματα:
Έντονη αύξηση της ηχογένειας του ηπατικού παρεγχύματος. Δεν ήταν δυνατή η διαφοροποίηση του ηπατικού παρεγχύματος από το τοίχωμα της πυλαίας φλέβας.(pic1)
Αύξηση των ορίων της εγκάρσιας διαμέτρου του οπίσθιου πόλου των επινεφριδίων.(pic2-3)
Πολυποειδείς εκβλαστήσεις σ το τοίχωμα της ουροδόχου κύστης και εικόνα ουρολοίμωξης.(pic4)
Διάγνωση: Μετά τα ευρήματα του υπερήχου ακολούθησαν εργαστηριακές εξετάσεις όπου και βρέθηκε αύξηση της γλυκόζης του αίματος και των ηπατικών ενζύμων. Στη συνέχεια ακολούθησε αγωγή με σκοπό τη μείωση της τιμής της γλυκόζης. Παρά την αγωγή η γλυκόζη δεν ελέγχθηκε και, λαμβάνοντας υπόψη το αυξημένο μέγεθος των επινεφριδίων, έγινε περεταίρω εξέταση για έλεγχο υπερφλοιοεπινεφριδισμού, η οποία και βγήκε θετική. Έτσι η διάγνωση τέθηκε ως κεντρικής αιτιολογίας υπερφλοιοεπινεφριδισμός και η θεραπευτική αντιμετώπιση άλλαξε.

pic1
pic2
pic3
pic4