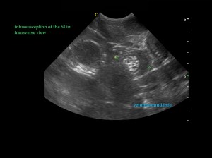
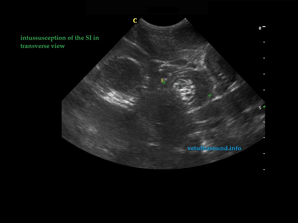
Patient: 2 months female Doberman Pincher.
History: Small intestine diarrhea since one week. The puppy’s exam for Parvovirus was negative. Despite the symptomatic treatment the patient was getting worse. One day before the Ultrasound exam the patient started vomiting.
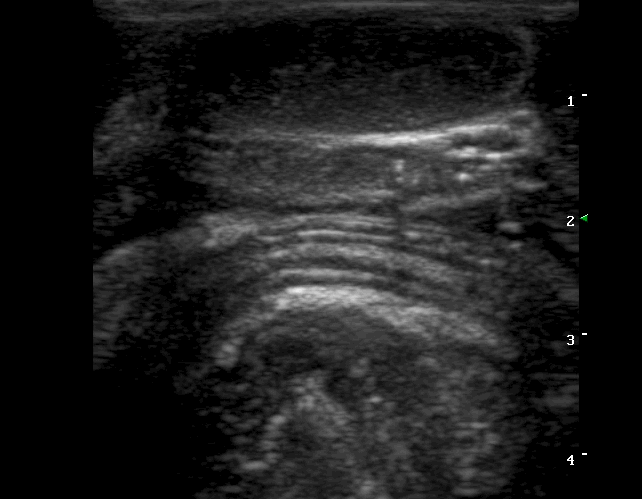
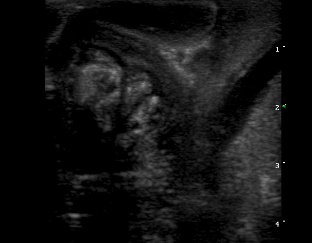
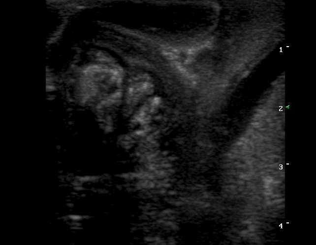
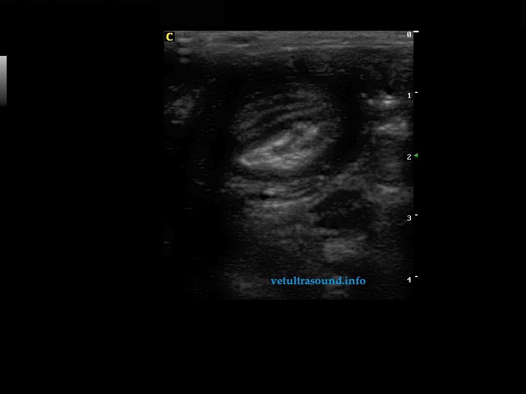
Findings: Distention of large part of the small intestine, caused by intussusception. The blood flow in the mesenteric arteries which supplied the intussusception was normal. The mesenteric lymphnodes were enlarged. A small amount of ascistic fluid was noted.
Ασθενής : 2 μηνών θηλυκό Doberman.
Ιστορικό: Διάρροιες εδώ και μία εβδομάδα. Αρνητικό σε ορολογική εξέταση για Parvovirus. Παρόλη την υποστηρικτική θεραπεία ο ασθενής συνέχιζε να καταπέφτει και μία ημέρα πριν τον υπέρηχο ξεκίνησε εμέτους.
Ευρήματα: Στον υπερηχοτομογραφικό έλεγχο της κοιλίας βρέθηκε παρουσία εγκολεασμού σε τμήμα του λεπτού εντέρου. Η αιμάτωση των μεσεντέριων αγγείων του εγκολεσθέντος τμήματος εκτιμήθηκε φυσιολογική. Οι μεσεντέριοι λεμφαδένες βρέθηκαν διογκωμένοι με αντιδραστική ηχομορφολογία. Υπήρχε μικρή ποσότητα ασκιτικού υγρού. Οι υπόλοιπες εντερικές έλικες που αφορούσαν το τμήμα του λεπτού εντέρου πριν τον εγκολεασμό βρέθηκαν διατεταμένες .
Κτηνίατροι οι οποίοι συμμετείχαν στη διάγνωση και θεραπεία:
Δαρζέντα Ιωάννα- Φλώρα, DVM





